LLMpediaThe first transparent, open encyclopedia generated by LLMs

Lung carcinoma

Generated by GPT-5-mini
Note: This article was automatically generated by a large language model (LLM) from purely parametric knowledge (no retrieval). It may contain inaccuracies or hallucinations. This encyclopedia is part of a research project currently under review.
Article Genealogy
Parent: Warburg effect Hop 5
Expansion Funnel Raw 72 → Dedup 0 → NER 0 → Enqueued 0
1. Extracted72
2. After dedup0 (None)
3. After NER0 ()
4. Enqueued0 ()
Lung carcinoma
Lung carcinoma
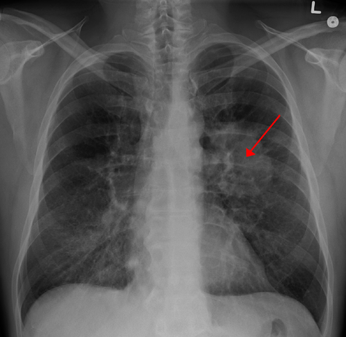
James Heilman, MD · CC BY-SA 3.0 · source
NameLung carcinoma
FieldPulmonology; Oncology
SymptomsCough, Hemoptysis, Dyspnea
ComplicationsPleural effusion, Metastasis, Cachexia
OnsetAdult
CausesTobacco smoking, Asbestos, Radon
RisksSecondhand smoke, Air pollution, Chronic obstructive pulmonary disease
DiagnosisChest radiography, Computed tomography, Bronchoscopy
TreatmentSurgery, Radiation therapy, Chemotherapy, Targeted therapy, Immunotherapy
PrognosisVariable

Lung carcinoma is a malignant neoplasm arising from the respiratory epithelium of the pulmonary system. It is a leading cause of cancer-related mortality worldwide and intersects with public health, occupational safety, and clinical oncology. Presentation, histology, staging, and management span multiple specialties including Thoracic surgery, Medical oncology, Radiation oncology, and Pulmonology.

Introduction

Lung carcinoma encompasses diverse malignant tumors of the lung distinguished by cellular origin, growth pattern, and clinical behavior. The condition carries significant morbidity and mortality that have driven major public health campaigns such as those led by World Health Organization, Centers for Disease Control and Prevention, and national cancer institutes. Historic shifts in incidence and regulation—linked to litigation involving Tobacco industry entities and occupational standards set by agencies like Occupational Safety and Health Administration—have shaped epidemiology and prevention.

Classification

Histologic classification divides lung carcinomas into major groups: small cell lung carcinoma and non-small cell lung carcinoma (NSCLC), the latter including Adenocarcinoma, Squamous cell carcinoma, and Large cell carcinoma. Molecular taxonomy further distinguishes tumors by driver alterations involving EGFR, ALK, ROS1, KRAS, BRAF, and MET rearrangements or mutations—discoveries influenced by research from institutions such as Dana–Farber Cancer Institute, Memorial Sloan Kettering Cancer Center, and National Cancer Institute. Classification systems are codified by organizations like the World Health Organization and staging is informed by the American Joint Committee on Cancer system.

Signs and symptoms

Common presenting complaints include persistent Cough, hemoptysis, dyspnea, chest pain, and systemic signs such as weight loss and fatigue. Paraneoplastic phenomena—endocrine or neurologic syndromes—may occur, exemplified by ectopic production of antidiuretic hormone or parathyroid hormone–related peptide, with clinical overlap managed by specialists at tertiary centers including Mayo Clinic and Cleveland Clinic. Metastatic spread often produces symptoms referable to Brain, Liver, Bone, and Adrenal gland involvement, prompting multidisciplinary evaluation.

Causes and risk factors

Tobacco smoking remains the predominant etiologic factor, a relationship established through studies by British Medical Research Council, Surgeon General of the United States, and landmark cohort studies in United Kingdom, United States, and Scandinavia. Occupational exposures to Asbestos, Silica, and diesel exhaust increase risk; regulatory frameworks by International Labour Organization and European Union influence workplace limits. Residential exposure to radon, air pollution influenced by Industrial Revolution emissions and contemporary industrialization in East Asia, and genetic predispositions involving genes studied at Institut Curie and university research centers also contribute.

Diagnosis

Initial evaluation typically uses chest radiography and high-resolution Computed tomography scanning; positron emission tomography with radiotracers informs metabolic activity and staging, often performed at facilities like Johns Hopkins Hospital and Stanford Health Care. Tissue diagnosis relies on bronchoscopy, CT-guided biopsy, or surgical resection for histopathology and molecular testing in certified laboratories associated with institutions such as FDA-regulated centers. Ancillary testing includes immunohistochemistry panels and next-generation sequencing to detect actionable mutations described in trials published by groups like American Society of Clinical Oncology.

Staging and prognosis

Staging follows the TNM framework promulgated by the American Joint Committee on Cancer and Union for International Cancer Control. Prognosis depends on stage at diagnosis, performance status, histology, and molecular features; five-year survival varies widely from high rates in localized disease treated with curative intent to poor outcomes in metastatic small cell disease. Prognostic indices and nomograms have been developed by research consortia including investigators from SEER Program and international cooperative groups to guide counseling and trial design.

Treatment and management

Management is multimodal and individualized. Early-stage NSCLC is often treated with surgical resection performed by thoracic surgeons at centers like Memorial Sloan Kettering Cancer Center or stereotactic body radiation therapy delivered in specialized Radiation oncology units. Locally advanced disease may require combined chemoradiation and consolidation immunotherapy based on trials from National Comprehensive Cancer Network partners. Metastatic disease treatment is guided by molecular profiling: EGFR-mutant cancers receive EGFR tyrosine kinase inhibitors approved after pivotal trials by pharmaceutical collaborations, ALK-rearranged tumors respond to ALK inhibitors developed through translational research at institutions such as Massachusetts General Hospital. Small cell lung carcinoma is typically managed with platinum-based chemotherapy and radiotherapy, with recent incorporation of immune checkpoint inhibitors validated in randomized trials endorsed by European Society for Medical Oncology and ASCO. Supportive care includes symptom control by palliative teams at hospitals like St Christopher's Hospice and smoking cessation strategies promoted by public health campaigns from World Health Organization and national health services.

Category:Thoracic oncology