LLMpediaThe first transparent, open encyclopedia generated by LLMs

Chest radiography

Generated by GPT-5-mini
Note: This article was automatically generated by a large language model (LLM) from purely parametric knowledge (no retrieval). It may contain inaccuracies or hallucinations. This encyclopedia is part of a research project currently under review.
Article Genealogy
Parent: Central line Hop 5
Expansion Funnel Raw 62 → Dedup 0 → NER 0 → Enqueued 0
1. Extracted62
2. After dedup0 (None)
3. After NER0 ()
4. Enqueued0 ()
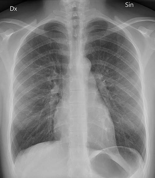
Chest radiography
Chest radiography
Mikael Häggström · CC0 · source
NameChest radiography
CaptionPosterior-anterior chest radiograph
SpecialtyRadiology
Invented1895
InventorWilhelm Röntgen

Chest radiography is the projectional radiographic imaging of the thorax used to assess the lungs, heart, bony thorax, mediastinum, and pleural spaces. It remains a first-line imaging tool across World Health Organization, Centers for Disease Control and Prevention, National Health Service (England), Mayo Clinic, and Johns Hopkins Hospital settings for triage, screening, and ongoing management of cardiopulmonary disease. Clinicians from institutions such as Massachusetts General Hospital, Cleveland Clinic, Mount Sinai Health System, Stanford Health Care, and Karolinska University Hospital rely on chest radiographs to inform decisions in settings ranging from emergency departments to primary care clinics.

Overview

Chest radiography uses ionizing radiation produced by an X-ray tube to create two-dimensional projections of thoracic anatomy, enabling evaluation of structures including the pulmonary parenchyma, cardiac silhouette, great vessels, bones, and pleura. Equipment and protocols are standardized by organizations such as International Commission on Radiological Protection, American College of Radiology, European Society of Radiology, Royal College of Radiologists, and Society of Thoracic Radiology to optimize image quality and minimize dose. Portable radiography units, digital radiography detectors, and picture archiving and communication systems are manufactured and distributed by companies like GE Healthcare, Siemens Healthineers, Philips Healthcare, Canon Medical Systems, and Fujifilm.

Technique and Imaging Projections

Standard projections include posterior-anterior (PA), anterior-posterior (AP), and lateral views, with specialized projections such as lordotic and expiratory films used when indicated. Positioning and technical factors are guided by texts and standards from American Board of Radiology, Royal Australian and New Zealand College of Radiologists, Japanese Radiological Society, Korean Society of Radiology, and protocols within Veterans Health Administration facilities. Mobile AP radiographs are common in intensive care units at institutions like Johns Hopkins Hospital and UCLA Medical Center, while upright PA and lateral views are routine in outpatient radiology suites such as Cedars-Sinai Medical Center and Sunnybrook Health Sciences Centre. Techniques such as low-dose protocols are influenced by research from Harvard Medical School, Karolinska Institutet, University of Toronto, and Imperial College London.

Indications and Clinical Uses

Chest radiography is indicated for evaluation of suspected pneumonia, congestive heart failure, pneumothorax, pleural effusion, rib fractures, and monitoring of lines and tubes in hospitalized patients. Clinical pathways from National Institute for Health and Care Excellence and American Thoracic Society incorporate radiographs for diagnosis and management of conditions encountered at NewYork-Presbyterian Hospital, Barnes-Jewish Hospital, Beth Israel Deaconess Medical Center, and Mayo Clinic. Screening programs such as those studied by World Health Organization for tuberculosis control and by US Preventive Services Task Force for certain populations have applied chest radiography in public health contexts handled by agencies like Centers for Disease Control and Prevention and Stop TB Partnership.

Interpretation and Radiographic Signs

Interpretation requires systematic assessment of radiographic lines, lung zones, cardiac size, and osseous structures, often using checklists developed at institutions like Massachusetts General Hospital, Royal Brompton Hospital, Mayo Clinic, and Guy's and St Thomas' NHS Foundation Trust. Classic radiographic signs include lobar consolidation, interstitial markings, Kerley B lines, air bronchograms, cardiomegaly, blunting of the costophrenic angle for effusion, and the deep sulcus sign for pneumothorax in supine films. These signs are referenced in educational materials from American Roentgen Ray Society, Radiological Society of North America, European Respiratory Society, and textbooks authored at Oxford University Press, Elsevier, and Springer Nature.

Limitations, Risks, and Safety Considerations

Chest radiography has limited sensitivity for early or small-volume disease compared with cross-sectional imaging modalities such as computed tomography used at centers like Mayo Clinic and Mount Sinai Health System. Radiation dose, while low relative to CT, is regulated by standards from International Atomic Energy Agency, Food and Drug Administration, and European Commission; ALARA principles promoted by International Commission on Radiological Protection guide practice. Special populations—pregnant patients managed at facilities like Maternal Fetal Medicine Units within Johns Hopkins Hospital and pediatric patients treated at Children's Hospital of Philadelphia—require tailored protocols from bodies such as American College of Radiology and Pediatric Radiology societies to minimize exposure. Artifacts and operator-dependent factors can mimic disease, necessitating correlation with clinical teams at institutions like Mayo Clinic and Cleveland Clinic.

History and Development

Chest radiography originated soon after Wilhelm Röntgen discovered X-rays in 1895; early adopters included clinicians at Charité – Universitätsmedizin Berlin and Guy's Hospital who produced some of the first thoracic images. Technological advances—such as film radiography, fluoroscopy innovations at Johns Hopkins University, digital radiography pioneered by engineers at GE Healthcare and Siemens Healthineers, and integration with electronic health records at Epic Systems Corporation and Cerner Corporation—have transformed practice. Landmark clinical studies from Johns Hopkins Hospital, Mayo Clinic, Massachusetts General Hospital, Stanford University School of Medicine, and University College London shaped guidelines promulgated by American College of Radiology and World Health Organization. Ongoing research at institutions including Imperial College London, Karolinska Institutet, University of Toronto, Harvard Medical School, and University of California, San Francisco explores artificial intelligence and computer-aided detection to augment radiographic interpretation.

Category:Radiology