LLMpediaThe first transparent, open encyclopedia generated by LLMs

tuberculous meningitis

Generated by GPT-5-mini
Note: This article was automatically generated by a large language model (LLM) from purely parametric knowledge (no retrieval). It may contain inaccuracies or hallucinations. This encyclopedia is part of a research project currently under review.
Article Genealogy
Parent: BCG Hop 5
Expansion Funnel Raw 63 → Dedup 0 → NER 0 → Enqueued 0
1. Extracted63
2. After dedup0 (None)
3. After NER0 ()
4. Enqueued0 ()
tuberculous meningitis
tuberculous meningitis
Komolafe, M., Sunmonu, T., Esan, O. · CC BY 2.0 · source
NameTuberculous meningitis
FieldInfectious disease, Neurology

tuberculous meningitis Tuberculous meningitis is a central nervous system infection caused by Mycobacterium tuberculosis that leads to meningeal inflammation, often with subacute onset and high morbidity. It commonly follows primary tuberculosis infection with meningeal seeding and presents diagnostic and therapeutic challenges that intersect global health policy, public health campaigns, and clinical neurology practice. Management requires rapid integration of infectious diseases, neurosurgery, and critical care resources coordinated among institutions such as World Health Organization and national public health agencies.

Introduction

Tuberculous meningitis is the most severe form of extrapulmonary tuberculosis and disproportionately affects populations in regions represented by India, China, South Africa, Nigeria, and other high-burden countries, drawing attention from organizations like United Nations and foundations including Bill & Melinda Gates Foundation. Historical recognition involved physicians associated with institutions such as Royal Society, Johns Hopkins Hospital, and Guy's Hospital as clinicians traced links between pulmonary disease and meningitis in pediatric and adult cohorts. The condition has implications for global initiatives like the Millennium Development Goals and Sustainable Development Goals given its connection to socioeconomic determinants that involve ministries in capitals like New Delhi and Beijing.

Signs and symptoms

Early symptoms often mirror presentations reported in classical neurology texts from centers like Mayo Clinic and Massachusetts General Hospital, including persistent headache, fever, and malaise described in case series from St Thomas' Hospital and Charité – Universitätsmedizin Berlin. Progressive meningeal irritation can produce neck stiffness, photophobia, cranial nerve palsies (frequently affecting patterns noted in cohorts at Addenbrooke's Hospital and Royal Melbourne Hospital), and altered consciousness that led to historic neurologic descriptions by clinicians affiliated with Guy's Hospital and Berlin University Hospital. Focal deficits, seizures, and hydrocephalus prompting referrals to neurosurgical services such as Great Ormond Street Hospital may develop, while constitutional findings overlap with extrapulmonary manifestations catalogued in reports from Centers for Disease Control and Prevention and Public Health England.

Pathophysiology

Pathogenesis follows hematogenous dissemination of Mycobacterium tuberculosis bacilli from primary sites like lungs or lymph nodes to the basal meninges and Virchow–Robin spaces, a mechanism explored in research from institutions including Pasteur Institute and Rockefeller University. Granulomatous inflammation, caseation, and exudate formation at the basal cisterns produce vasculitis, infarction, and obstructive hydrocephalus, processes examined in neuropathology series from UCL Queen Square Institute of Neurology and Karolinska Institutet. Host immune responses involving cell-mediated immunity and cytokine cascades were characterized in immunology labs at Imperial College London and University of Oxford, with implications for adjunctive therapies debated in trials coordinated by networks such as International Union Against Tuberculosis and Lung Disease.

Diagnosis

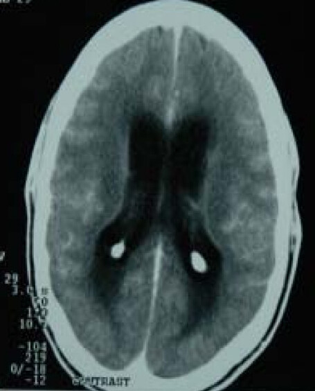
Diagnosis integrates cerebrospinal fluid analysis, neuroradiology, microbiology, and molecular assays developed at centers including Stanford University School of Medicine and Harvard Medical School. Cerebrospinal fluid profiles commonly show lymphocytic pleocytosis, elevated protein, and low glucose, patterns referenced in textbooks used at Yale School of Medicine and University of Toronto. Neuroimaging with magnetic resonance imaging or computed tomography, standardized in departments at UCSF Medical Center and University College Hospital, may reveal basilar enhancement, tuberculomas, or hydrocephalus. Microbiological confirmation uses smear microscopy, culture techniques from laboratories like Mérieux affiliates, and nucleic acid amplification tests exemplified by assays promoted by Foundation for Innovative New Diagnostics; diagnostic sensitivity and specificity have been evaluated in multicenter studies funded by agencies such as National Institutes of Health.

Treatment

Antitubercular chemotherapy follows regimens established by programs coordinated through World Health Organization guidelines and national tuberculosis programs in settings like South Africa and India. Standard treatment includes prolonged multidrug therapy with agents originating from pharmaceutical developments at companies such as Pfizer and Roche, supplemented by corticosteroids for selected patients, a practice supported by trials conducted at institutions including London School of Hygiene & Tropical Medicine. Severe complications like hydrocephalus may require neurosurgical interventions at centers such as The Alfred Hospital and Toronto General Hospital, while drug-resistant cases necessitate individualized regimens guided by susceptibility testing provided by reference laboratories like Public Health England and CDC.

Prognosis and complications

Outcomes vary by stage at presentation, comorbidities such as HIV/AIDS coinfection managed by programs like PEPFAR, and access to timely care in health systems exemplified by Kaiser Permanente or national ministries. Complications include stroke, fixed neurologic deficits, cranial neuropathies, and cognitive impairment documented in follow-up cohorts from Addenbrooke's Hospital and Mayo Clinic. Mortality and morbidity remain substantial in reports from endemic regions like Sub-Saharan Africa and Southeast Asia, prompting policy responses involving partnerships with entities like Doctors Without Borders and national tuberculosis elimination strategies.

Epidemiology and risk factors

Epidemiology reflects global tuberculosis burden with high incidence in countries such as India, China, Indonesia, Pakistan, and Nigeria, data frequently summarized by World Health Organization reports and analyses from think tanks like The Lancet Commission contributors. Risk factors include young age groups highlighted in pediatric series from Great Ormond Street Hospital, immunosuppression from HIV/AIDS programs, malnutrition noted in public health surveys by UNICEF, and health disparities documented in studies by Human Rights Watch. Surveillance and control efforts involve collaborations among WHO, national public health agencies, academic centers like Johns Hopkins Bloomberg School of Public Health, and philanthropic organizations including Bill & Melinda Gates Foundation.

Category:Infectious diseases