LLMpediaThe first transparent, open encyclopedia generated by LLMs

fibrolamellar hepatocellular carcinoma

Generated by GPT-5-mini
Note: This article was automatically generated by a large language model (LLM) from purely parametric knowledge (no retrieval). It may contain inaccuracies or hallucinations. This encyclopedia is part of a research project currently under review.
Article Genealogy
Parent: PKA Hop 4
Expansion Funnel Raw 1 → Dedup 0 → NER 0 → Enqueued 0
1. Extracted1
2. After dedup0 (None)
3. After NER0 ()
4. Enqueued0 ()
fibrolamellar hepatocellular carcinoma
fibrolamellar hepatocellular carcinoma
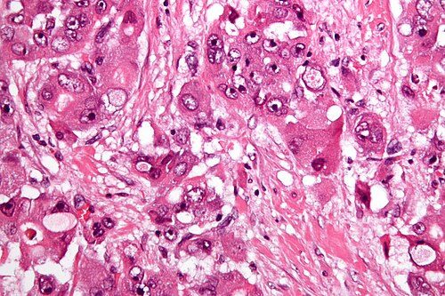
Nephron · CC BY-SA 3.0 · source
NameFibrolamellar hepatocellular carcinoma
FieldOncology, Hepatology, Pathology
SynonymsFibrolamellar carcinoma
OnsetAdolescence to young adulthood
RisksNone typical; genetic fusion identified
DiagnosisImaging, biopsy, molecular testing
TreatmentSurgery, targeted therapy, liver transplantation
PrognosisVariable; depends on stage and resectability

fibrolamellar hepatocellular carcinoma

Fibrolamellar hepatocellular carcinoma is a rare primary liver tumor that presents predominantly in adolescents and young adults and is distinguished from conventional hepatocellular carcinoma by unique histology and a characteristic DNAJB1-PRKACA fusion. It has prompted multidisciplinary study across oncology, hepatology, pathology, molecular biology, radiology, surgery, and genetics, attracting attention from institutions like the National Cancer Institute, Dana-Farber Cancer Institute, Memorial Sloan Kettering Cancer Center, Johns Hopkins Hospital, and Mayo Clinic. Research collaborations often involve investigators associated with Harvard Medical School, Stanford University, University of California system, University of Cambridge, and University of Oxford.

Overview

Fibrolamellar hepatocellular carcinoma was first described in surgical and pathological series and later characterized by case reports from centers such as Massachusetts General Hospital, Royal Marsden Hospital, and Saint Bartholomew's Hospital; the tumor is typified by laminated fibrosis, large polygonal cells, prominent nucleoli, and eosinophilic cytoplasm. Clinical reviews from Cleveland Clinic, MD Anderson Cancer Center, University College London Hospitals, and Karolinska Institutet emphasize its distinction from hepatocellular carcinoma arising in cirrhosis described in series from Mayo Clinic, Johns Hopkins Hospital, and University of Pittsburgh Medical Center. International consortia including the European Society for Medical Oncology, American Society of Clinical Oncology, Japanese Society of Hepatology, and Chinese Medical Association have issued guidelines and position statements that intersect with liver tumor registries maintained by the Surveillance, Epidemiology, and End Results program and the World Health Organization.

Epidemiology and Risk Factors

Epidemiological descriptions derive from population registries such as SEER, Nordic cancer registries, Australian Institute of Health and Welfare, and national databases in Germany, France, Italy, Spain, Brazil, Japan, South Korea, and Canada. Unlike hepatocellular carcinoma associated with hepatitis B virus, hepatitis C virus, alcoholic liver disease, nonalcoholic fatty liver disease, or primary biliary cholangitis, fibrolamellar carcinoma typically arises in noncirrhotic livers of patients without established environmental exposures recognized by agencies like the Centers for Disease Control and Prevention, World Health Organization, or European Centre for Disease Prevention and Control. Case series from institutions including Mount Sinai Health System, Baylor College of Medicine, University of Texas Southwestern Medical Center, and Northwestern Memorial Hospital note onset commonly in the second and third decades of life and sporadic occurrences without familial clustering recognized by hereditary cancer clinics at Memorial Sloan Kettering Cancer Center, Cleveland Clinic Foundation, and University of California San Francisco.

Pathology and Molecular Biology

Histopathological definitions are grounded in descriptions from pathologists at Guy's and St Thomas' NHS Foundation Trust, Royal Free Hospital, and University of Toronto, who documented characteristic lamellar fibrosis and cytological features; immunohistochemistry panels used at laboratories affiliated with the American Board of Pathology and College of American Pathologists include cytokeratin profiles and markers reported in studies from Karolinska University Hospital and Institut Curie. A recurrent somatic fusion between DNAJB1 and PRKACA was identified in genomic studies conducted by investigators at Memorial Sloan Kettering Cancer Center, Broad Institute, Cold Spring Harbor Laboratory, and Sanger Institute; functional analyses published by teams at MIT, Rockefeller University, and University of Pennsylvania implicated dysregulation of cyclic AMP–dependent signaling. Genomic and transcriptomic characterizations from consortia involving Wellcome Sanger Institute, ENCODE project, and Cancer Genome Atlas collaborators have revealed distinct expression patterns compared with tumors profiled by the International Cancer Genome Consortium and have informed targeted therapy efforts at pharmaceutical developers including Novartis, Roche, Bristol Myers Squibb, Merck, and Pfizer.

Clinical Presentation and Diagnosis

Clinical series from pediatric oncology centers at St Jude Children's Research Hospital, Great Ormond Street Hospital, and Children's Hospital of Philadelphia describe symptoms such as abdominal pain, palpable mass, weight loss, and paraneoplastic phenomena; presentations are evaluated with imaging modalities standardized by radiology groups at the American College of Radiology and European Society of Radiology. Cross-sectional imaging protocols from University Hospital Zurich, Cleveland Clinic, and Mayo Clinic utilize multiphase CT and MRI sequences guided by radiologists at Massachusetts General Hospital and Stanford Health Care; nuclear medicine centers at Johns Hopkins and University of Michigan may perform PET imaging when indicated. Definitive diagnosis relies on biopsy and molecular testing for the DNAJB1-PRKACA fusion using techniques developed at laboratories affiliated with Johns Hopkins, University of California San Diego, and Institut Pasteur, and confirmed by sequencing centers at University of Washington, Broad Institute, and Baylor College of Medicine.

Treatment and Management

Surgical resection strategies are informed by hepatobiliary surgical programs at King's College Hospital, Royal Infirmary of Edinburgh, and University Hospital Leuven, with adjunctive perioperative management from anesthesiology and critical care units at Cleveland Clinic and Massachusetts General Hospital. Liver transplantation outcomes have been compiled by registries supported by Eurotransplant, United Network for Organ Sharing, and NHS Blood and Transplant, and centers such as Hospital Clínic de Barcelona and University of Toronto report transplant series. Systemic therapies explored in trials at National Cancer Institute, Eisai, AstraZeneca, and Amgen include multi-kinase inhibitors, immune checkpoint inhibitors evaluated at Memorial Sloan Kettering and MD Anderson, and investigational agents targeting PKA signaling developed in academic-industry partnerships with Pfizer, Novartis, and Roche. Locoregional treatments such as transarterial chemoembolization, radiofrequency ablation, and stereotactic body radiation therapy are performed at centers including University of California Los Angeles, Mount Sinai, and Institut Gustave Roussy.

Prognosis and Outcomes

Prognostic analyses from long-term cohorts at Mayo Clinic, Memorial Sloan Kettering, and Vanderbilt University Medical Center indicate outcomes depend on stage, resectability, and presence of metastases at diagnosis; survival metrics are tracked by agencies such as the World Health Organization, Centers for Disease Control and Prevention, and national cancer registries. Multidisciplinary follow-up protocols developed by the American Society of Clinical Oncology, European Society for Medical Oncology, and National Comprehensive Cancer Network emphasize surveillance imaging and management of recurrence involving hepatology clinics at Mount Sinai, University College London, and Karolinska Institutet. Ongoing research collaborations among NIH-funded consortia, Wellcome Trust–supported groups, and philanthropic organizations such as the American Cancer Society and Stand Up To Cancer aim to improve outcomes through clinical trials coordinated at major cancer centers including Dana-Farber, MD Anderson, and Memorial Sloan Kettering.

Category:Liver cancer