LLMpediaThe first transparent, open encyclopedia generated by LLMs

diabetic nephropathy

Generated by GPT-5-mini
Note: This article was automatically generated by a large language model (LLM) from purely parametric knowledge (no retrieval). It may contain inaccuracies or hallucinations. This encyclopedia is part of a research project currently under review.
Article Genealogy
Expansion Funnel Raw 48 → Dedup 0 → NER 0 → Enqueued 0
1. Extracted48
2. After dedup0 (None)
3. After NER0 ()
4. Enqueued0 ()
diabetic nephropathy
diabetic nephropathy
Public domain · source
NameDiabetic nephropathy
FieldNephrology, Endocrinology

diabetic nephropathy is a progressive renal disorder arising in people with long-standing diabetes mellitus that leads to declining glomerular filtration and eventual renal failure. It contributes substantially to global burden of chronic kidney disease and end-stage renal disease requiring Dialysis or kidney transplantation. Recognition and intervention often involve collaborations across specialties associated with World Health Organization, American Diabetes Association, and national health services such as the National Health Service.

Introduction

Diabetic nephropathy is characterized by albuminuria, reduced glomerular filtration rate, and specific histologic changes in the renal glomerulus described in classic nephrology texts used at institutions like Mayo Clinic and Johns Hopkins Hospital. Historically, research into mechanisms drew on studies from centers such as Harvard Medical School and Massachusetts General Hospital, and clinical guidelines have been shaped through consensus panels including experts from European Renal Association and the National Institutes of Health. Landmark trials conducted at centers like University of Oxford and University of California, San Francisco have influenced modern diagnostic criteria and therapeutic thresholds.

Epidemiology and Risk Factors

Incidence and prevalence estimates rely on epidemiologic surveillance by organizations including Centers for Disease Control and Prevention and United Nations health analyses; rates vary across populations studied in cohorts from Framingham Heart Study-style designs to registries like the United States Renal Data System. Major risk factors are reported in guideline statements from bodies such as the American Heart Association and include duration of diabetes, poor glycemic control documented in trials like the UKPDS, systemic hypertension addressed in studies such as the SPRINT, and genetic predisposition traced in work from institutions like Broad Institute and Wellcome Trust. Additional modifiers include smoking exposure noted in public health campaigns by World Health Organization and socioeconomic determinants assessed in analyses by the World Bank.

Pathophysiology

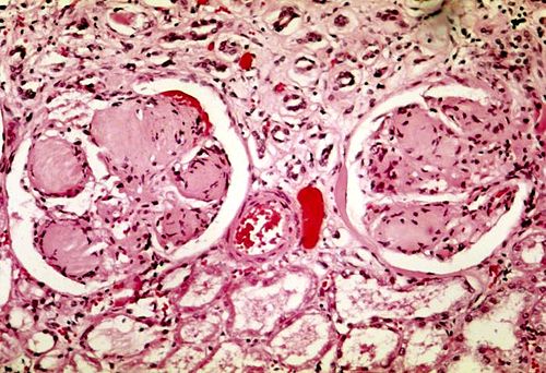
Pathogenic mechanisms integrate hemodynamic and metabolic pathways explored in research programs at National Institutes of Health and academic centers such as Stanford University School of Medicine. Hyperglycemia-driven alterations include nonenzymatic protein glycation highlighted in biochemical studies reminiscent of methods used by Nobel Prize-winning researchers, activation of the renin–angiotensin–aldosterone system targeted in trials by pharmaceutical partners like Bristol-Myers Squibb and Merck & Co., and oxidative stress pathways investigated in labs at Max Planck Society. Structural changes—mesangial expansion, glomerular basement membrane thickening, and nodular sclerosis—were described in classical nephropathology referenced in textbooks from Oxford University Press and case series from tertiary centers like Cleveland Clinic. Animal models developed at institutions such as Cold Spring Harbor Laboratory and the Salk Institute have elucidated signaling cascades and inflammatory mediators implicated in progressive renal injury.

Clinical Presentation and Diagnosis

Patients are often identified initially by screening programs advocated by organizations like the American Diabetes Association and testing protocols influenced by agencies including the U.S. Preventive Services Task Force. Typical presentation includes persistent albuminuria detected by urine albumin-to-creatinine ratio measurements employed in laboratories at Mayo Clinic Laboratories and declining estimated glomerular filtration rate consistent with staging systems from the KDIGO guidelines. Diagnostic evaluation may incorporate renal ultrasound—modalities developed at centers like Johns Hopkins Hospital—and, when indicated, renal biopsy interpreted according to criteria refined in consensus statements from groups including the European Renal Association–European Dialysis and Transplant Association. Assessment often includes cardiovascular risk stratification using tools informed by studies such as the Framingham Heart Study.

Management and Treatment

Treatment strategies follow evidence from randomized controlled trials conducted at institutions such as University of Oxford and pharmaceutical-sponsored multicenter trials coordinated with agencies like the Food and Drug Administration. Glycemic control guided by targets endorsed in guidance from the American Diabetes Association and International Diabetes Federation reduces microvascular complications demonstrated in studies including the DCCT and UKPDS. Blood pressure control with agents targeting the renin–angiotensin system—angiotensin-converting enzyme inhibitors and angiotensin receptor blockers—was validated in trials published by research groups at Brigham and Women's Hospital and Vanderbilt University Medical Center. Newer therapeutics, including sodium–glucose cotransporter 2 inhibitors (studied in cardiovascular and renal outcome trials led by consortia including Cardiovascular Research Network), and mineralocorticoid receptor antagonists assessed in multicenter trials coordinated with organizations such as the European Medicines Agency, have demonstrated renal protective effects. Advanced disease management requires preparation for Dialysis or Kidney transplantation, with perioperative and transplant care delivered at specialty centers like Cleveland Clinic and Mayo Clinic.

Prognosis and Complications

Prognosis depends on stage at diagnosis and response to interventions recommended by guideline-producing entities such as KDIGO and national specialty societies including the American Society of Nephrology. Complications encompass progression to end-stage renal disease necessitating Dialysis or kidney transplantation and elevated cardiovascular morbidity and mortality reported in large cohort studies like the Framingham Heart Study and registries maintained by the United States Renal Data System. Multisystem consequences may require multidisciplinary care involving centers such as Johns Hopkins Hospital, Massachusetts General Hospital, and public health initiatives led by the World Health Organization to reduce population-level impact.

Category:Kidney disease