LLMpediaThe first transparent, open encyclopedia generated by LLMs

acute myeloid leukemia

Generated by GPT-5-mini
Note: This article was automatically generated by a large language model (LLM) from purely parametric knowledge (no retrieval). It may contain inaccuracies or hallucinations. This encyclopedia is part of a research project currently under review.
Article Genealogy
Parent: KIT Hop 5
Expansion Funnel Raw 45 → Dedup 0 → NER 0 → Enqueued 0
1. Extracted45
2. After dedup0 (None)
3. After NER0 ()
4. Enqueued0 ()
acute myeloid leukemia
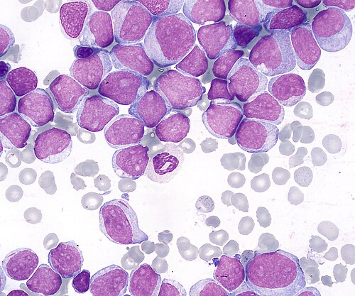
acute myeloid leukemia
Makysm · CC0 · source
NameAcute myeloid leukemia
FieldHematology, Oncology
DurationAcute

acute myeloid leukemia

Acute myeloid leukemia is a hematologic malignancy characterized by rapid proliferation of immature myeloid precursor cells in the bone marrow and peripheral blood. It most commonly affects adults and has diverse clinical, cytogenetic, and molecular features that influence management and outcomes. Major international organizations, academic centers, and regulatory agencies have produced guidelines and trials that shape contemporary care.

Signs and symptoms

Patients typically present with symptoms related to marrow failure and leukemic infiltration. Fatigue, pallor, dyspnea, and tachycardia reflect anemia and are seen in contexts including presentations at Mayo Clinic, Johns Hopkins Hospital, Massachusetts General Hospital, Cleveland Clinic, Memorial Sloan Kettering Cancer Center. Bruising, petechiae, mucosal bleeding, and epistaxis indicate thrombocytopenia and may prompt evaluation at facilities such as Royal Marsden Hospital, Peter MacCallum Cancer Centre, Dana-Farber Cancer Institute, Seattle Cancer Care Alliance. Fever and infections due to neutropenia are common; patients may present to emergency departments at institutions like Guy's Hospital, St Thomas' Hospital, Karolinska University Hospital, Royal Brisbane Hospital. Organomegaly, lymphadenopathy, bone pain, and gingival hypertrophy occur with leukemic infiltration and are described in case series from University of Texas MD Anderson Cancer Center, University College London Hospitals, Mount Sinai Hospital. Rarely, chloroma (myeloid sarcoma) causes extramedullary masses identified in reports involving Memorial Hermann Hospital and international oncology meetings.

Causes and pathophysiology

The disorder arises from accumulated genetic and epigenetic alterations in hematopoietic stem and progenitor cells. Recurrent chromosomal translocations such as t(8;21), inv(16), and t(15;17) are classical drivers reported by collaborative groups including European LeukemiaNet, American Society of Hematology, National Cancer Institute, National Comprehensive Cancer Network. Mutations in genes regulating signaling, epigenetic modification, and transcription—examples in literature include FLT3, NPM1, DNMT3A, IDH1, IDH2, TP53—have been profiled at centers like Broad Institute, Wellcome Sanger Institute, Fred Hutchinson Cancer Center. Exposure-related etiologies include prior cytotoxic chemotherapy and radiation, occupational benzene exposure investigated by cohorts from Harvard T.H. Chan School of Public Health and World Health Organization reports; antecedent hematologic disorders such as myelodysplastic syndromes are documented in registries at Surveillance, Epidemiology, and End Results Program and national cancer databases. Pathophysiology involves blocked differentiation, increased proliferation, and marrow suppression leading to systemic manifestations described in textbooks from Oxford University Press and Elsevier.

Diagnosis

Diagnosis depends on morphologic, immunophenotypic, cytogenetic, and molecular assessment. Peripheral blood smear and bone marrow aspirate showing ≥20% myeloblasts historically define diagnosis following criteria from World Health Organization and consensus statements by European LeukemiaNet. Immunophenotyping by flow cytometry distinguishes myeloid from lymphoid lineage using panels developed at laboratories affiliated with University of Pennsylvania, Stanford University School of Medicine, Columbia University Irving Medical Center. Conventional karyotyping and fluorescence in situ hybridization identify recurrent translocations as reported by groups at M.D. Anderson Cancer Center. Next-generation sequencing panels for panels including FLT3, NPM1, CEBPA, and others are routinely employed at institutions such as Broad Institute and commercial diagnostics used by Quest Diagnostics, LabCorp. Supportive laboratory tests include coagulation studies for disseminated intravascular coagulation, uric acid for tumor lysis risk, and imaging when extramedullary disease is suspected; imaging services are commonly provided by hospitals like Mount Sinai Hospital and Johns Hopkins Hospital.

Classification and genetics

Classification integrates morphology, immunophenotype, cytogenetics, and molecular abnormalities. Systems from World Health Organization and risk stratification frameworks from European LeukemiaNet categorize cases into favorable, intermediate, and adverse risk groups based on lesions such as t(15;17) for acute promyelocytic leukemia, core binding factor rearrangements, and complex karyotypes. Genetic discoveries from projects at Cancer Genome Atlas and studies published by investigators at Dana-Farber Cancer Institute have identified subtype-defining mutations—NPM1 mutations often confer distinct clinical behavior, whereas TP53 alterations and complex karyotype portend poor outcomes as reported in multicenter cohorts including German-Austrian Study Group and Italian GIMEMA trials.

Treatment

Initial management combines induction chemotherapy, targeted agents, and supportive care. Standard "7+3" cytarabine plus anthracycline regimens remain common at many centers including M.D. Anderson Cancer Center, with modifications informed by trials from cooperative groups such as Cancer and Leukemia Group B and SWOG. Targeted therapies—FLT3 inhibitors, IDH1/2 inhibitors, and venetoclax combinations—reflect approvals and study results from regulatory agencies like U.S. Food and Drug Administration and trials run by European Organisation for Research and Treatment of Cancer. Acute promyelocytic leukemia is treated with all-trans retinoic acid and arsenic trioxide per protocols developed at institutions like Beijing Institute of Hematology and Mayo Clinic. Allogeneic hematopoietic stem cell transplantation is considered for eligible patients and performed at transplant centers including Fred Hutchinson Cancer Center, Seattle Cancer Care Alliance, Royal Marsden Hospital. Supportive measures include transfusions, antimicrobial prophylaxis, and management of tumor lysis by services at Cleveland Clinic and major academic hospitals.

Prognosis and outcomes

Prognosis depends on age, performance status, cytogenetic and molecular risk, and response to induction therapy. Favorable cytogenetics are associated with higher remission rates and longer survival in analyses from European LeukemiaNet and large registries such as SEER Program, whereas adverse features and minimal residual disease positivity predict relapse and poorer survival in reports from National Cancer Institute and cooperative trial groups. Long-term survivorship issues and quality-of-life outcomes are monitored through survivorship programs at Mayo Clinic, Dana-Farber Cancer Institute, and national cancer survivor registries. Emerging therapies and precision medicine initiatives from entities like Broad Institute and pharmaceutical collaborations continue to refine outcomes.

Category:Leukemia