LLMpediaThe first transparent, open encyclopedia generated by LLMs

Venezuelan equine encephalitis virus

Generated by GPT-5-mini
Note: This article was automatically generated by a large language model (LLM) from purely parametric knowledge (no retrieval). It may contain inaccuracies or hallucinations. This encyclopedia is part of a research project currently under review.
Article Genealogy
Parent: Fort Detrick Hop 4
Expansion Funnel Raw 57 → Dedup 0 → NER 0 → Enqueued 0
1. Extracted57
2. After dedup0 (None)
3. After NER0 ()
4. Enqueued0 ()
Venezuelan equine encephalitis virus
Venezuelan equine encephalitis virus
Public domain · source
NameVenezuelan equine encephalitis virus
Virus groupIV (positive-sense single-stranded RNA)
FamiliaTogaviridae
GenusAlphavirus
SynonymsVEEV

Venezuelan equine encephalitis virus is an alphavirus of the family Togaviridae that causes encephalitis in equids and humans. First recognized during equine epizootics, it is transmitted by mosquitoes and has been associated with large outbreaks in the Americas, raising public health and veterinary concerns. The virus has been studied by institutions such as the Centers for Disease Control and Prevention, World Health Organization, and military research programs, and appears in literature on arboviruses, zoonoses, and biodefense.

Virology

Venezuelan equine encephalitis virus belongs to the genus Alphavirus within Togaviridae, characterized by enveloped, icosahedral virions with a positive-sense, single-stranded RNA genome. The ~11.4 kb genome encodes nonstructural proteins (nsP1–nsP4) and structural proteins (capsid, E1, E2, E3, 6K), and is translated via mechanisms discussed in studies from Rockefeller University, Pasteur Institute, Max Planck Society, and University of Oxford. Genetic variation among subtypes IAB, IC, ID, IE, and IF correlates with host range, virulence, and vector competence, topics investigated by researchers at Johns Hopkins University, University of Texas, Columbia University, and Brazilian National Research Council. Viral entry involves receptor-mediated endocytosis and membrane fusion mediated by the E1/E2 glycoprotein complex, processes described alongside work by National Institutes of Health, Harvard University, and Massachusetts Institute of Technology. Structural studies using cryo-electron microscopy and X-ray crystallography have been conducted at facilities such as European Molecular Biology Laboratory and EMBL.

Transmission and Vectors

Transmission cycles include enzootic and epizootic chains involving mosquito vectors and vertebrate hosts. Enzootic maintenance is primarily associated with sylvatic mosquitoes from genera where field studies cite Anopheles, Culex, and Aedes species; vector competence investigations have been reported by groups at Pan American Health Organization, Centers for Disease Control and Prevention, and University of São Paulo. Amplification during epizootics often involves equids and peridomestic vectors, with epidemiologic links drawn in reports from Venezuela, Colombia, Peru, Mexico, and Argentina. Human cases arise from spillover via infected mosquitoes, occupational exposure in laboratories at institutions such as US Army Medical Research Institute of Infectious Diseases and Walter Reed Army Institute of Research, and historically through aerosolized inocula in biodefense contexts addressed by United States Congress hearings.

Epidemiology and Outbreaks

Outbreaks of the virus have been documented across northern South America, Central America, and Mexico, with notable epizootics in the 1930s, 1960s, 1970s, and 1990s. Major events involved coordinated responses by organizations including the Pan American Health Organization, Food and Agriculture Organization, Centers for Disease Control and Prevention, and national ministries such as those of Venezuela and Colombia. Surveillance and seroprevalence studies have been conducted by World Health Organization collaborating centers and academic groups at University of California, Davis, London School of Hygiene & Tropical Medicine, and University of Miami. Risk factors identified in outbreak investigations include equine density, deforestation patterns examined in research from NASA, urbanization trends tracked by United Nations, and climate anomalies analyzed by National Oceanic and Atmospheric Administration and IPCC reports.

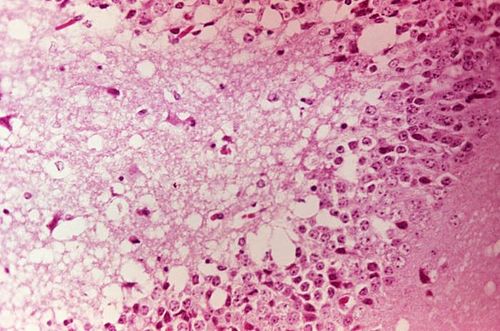
Clinical Presentation and Pathogenesis

In humans, infection ranges from a febrile, influenza-like illness to severe encephalitis, with increased risk of neurological sequelae in children and elderly patients. Clinical descriptions have been documented by clinicians at Johns Hopkins Hospital, Mayo Clinic, Cleveland Clinic, and national reference laboratories, with pathology studies reporting neuronal infection, blood–brain barrier disruption, and inflammatory responses characterized by microglial activation and cytokine release. Equid infections can present as severe neurologic disease with high morbidity and mortality, driving veterinary responses by organizations such as American Veterinary Medical Association and regional agricultural ministries. Pathogenesis research involving animal models has been published by teams at The Scripps Research Institute, Rockefeller University, and University of Wisconsin–Madison.

Diagnosis and Laboratory Methods

Laboratory diagnosis employs virus isolation in cell culture, antigen detection, serology (IgM capture ELISA, neutralization tests), and molecular methods such as reverse transcription PCR and sequencing. Diagnostic workflows are maintained at reference centers within Centers for Disease Control and Prevention, World Health Organization collaborating laboratories, and national institutes like Evandro Chagas Institute. Biosafety protocols for handling are informed by guidance from National Institutes of Health, Occupational Safety and Health Administration, and military laboratory regulations; high-containment facilities such as those at USAMRIID are used for virulent strains. Differential diagnosis often involves exclusion of other arboviral encephalitides studied at Pasteur Institute, Pan American Health Organization, and regional public health laboratories.

Prevention and Control

Control strategies combine vector control, equine vaccination, surveillance, and public health measures. Licensed equine vaccines developed and distributed with support from veterinary services in United States Department of Agriculture, Pan American Health Organization, and national agricultural agencies reduce amplification risk; human vaccine candidates have been developed in programs at Walter Reed Army Institute of Research, US Food and Drug Administration, and academic partners though no widely licensed human vaccine is globally deployed. Integrated vector management programs draw on guidelines from World Health Organization and entomology research at London School of Hygiene & Tropical Medicine and University of California, Davis. Outbreak response involves coordination among ministries of health and agriculture, international organizations like World Health Organization and Food and Agriculture Organization, and emergency management agencies such as Federal Emergency Management Agency.

History and Biodefense Concerns

First recognized during equine epizootics in the early 20th century, the virus has since been the subject of field investigations, vaccine development, and laboratory research. Historical investigations involve archives and reports from institutions like Rockefeller Foundation, Pan American Sanitary Bureau, and national ministries in Venezuela and Colombia. Because of its infectivity and aerosol potential, the virus entered biodefense research agendas during the 20th century, prompting policy responses by United States Congress, oversight by agencies including Department of Defense and National Institutes of Health, and international debate within World Health Organization forums. Ethical, legal, and biosecurity discussions have engaged bodies such as the Nuclear Threat Initiative and United Nations mechanisms addressing biological threats.

Category:Alphaviruses Category:Arboviruses Category:Zoonoses