LLMpediaThe first transparent, open encyclopedia generated by LLMs

Saccharomycetaceae

Generated by GPT-5-mini
Note: This article was automatically generated by a large language model (LLM) from purely parametric knowledge (no retrieval). It may contain inaccuracies or hallucinations. This encyclopedia is part of a research project currently under review.
Article Genealogy
Expansion Funnel Raw 91 → Dedup 0 → NER 0 → Enqueued 0
1. Extracted91
2. After dedup0 (None)
3. After NER0 ()
4. Enqueued0 ()
Saccharomycetaceae
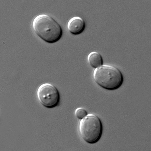
Saccharomycetaceae
Masur · Public domain · source
NameSaccharomycetaceae
DomainEukaryota
KingdomFungi
PhylumAscomycota
ClassSaccharomycetes
OrderSaccharomycetales
FamilySaccharomycetaceae

Saccharomycetaceae is a family of yeasts within the order Saccharomycetales, notable for including fermentative species used across food, beverage, and biotechnology sectors. Members of this family have been subjects of study in comparative genomics and molecular evolution, attracting attention from institutions such as Harvard University, University of Cambridge, Max Planck Society, Stanford University, and Massachusetts Institute of Technology. Research on these taxa appears in journals associated with Nature Publishing Group, Cell Press, Proceedings of the National Academy of Sciences, The Lancet, and Science.

Taxonomy and Classification

The family lies within Ascomycota and has been revised using multilocus phylogenetics by researchers affiliated with Smithsonian Institution, Royal Society, European Molecular Biology Laboratory, Cold Spring Harbor Laboratory, and Wellcome Trust Sanger Institute. Classical taxonomic treatments referenced works produced under the auspices of International Code of Nomenclature for algae, fungi, and plants and curated by herbaria such as Kew Gardens, The New York Botanical Garden, and Australian National Herbarium. Molecular systematics employing markers endorsed by GenBank, UniProt, European Nucleotide Archive, Joint Genome Institute, and Global Biodiversity Information Facility have led to reassignments among genera recognized in monographs from Oxford University Press and Cambridge University Press.

Morphology and Cellular Biology

Cells typically exhibit unicellular, budding yeast morphology studied with methods developed at National Institutes of Health, European Molecular Biology Laboratory, Max Planck Institute for Biophysical Chemistry, Institut Pasteur, and Johns Hopkins University. Microscopy techniques refined at Wadsworth Center, University College London, Karolinska Institute, Weizmann Institute of Science, and ETH Zurich reveal features such as cell wall architecture comparable to models described in works from American Society for Microbiology, Royal Microscopical Society, and Biophysical Society. Organelles, cytoskeletal elements, and membrane systems in these yeasts have been analyzed using protocols disseminated by Cold Spring Harbor Laboratory, Wellcome Sanger Institute, National Center for Biotechnology Information, European Bioinformatics Institute, and Los Alamos National Laboratory.

Physiology and Metabolism

Members display facultative anaerobiosis and fermentative metabolism with pathways explored in collaboration between laboratories at University of California, Berkeley, ETH Zurich, University of Tokyo, Peking University, and Seoul National University. Central carbon metabolism, including glycolysis, ethanol fermentation, and glycerol production, is contextualized alongside enzymology work from Max Planck Society, Institut Pasteur, Caltech, Columbia University, and Princeton University. Studies on stress tolerance, osmoadaptation, and heat-shock responses cite methodologies and findings linked to National Institute of Standards and Technology, Los Alamos National Laboratory, Riken Institute, German Cancer Research Center, and Lawrence Berkeley National Laboratory.

Ecology and Distribution

Species occupy niches ranging from plant surfaces to animal-associated environments; ecological surveys have been performed by teams from Smithsonian Institution, National Museum of Natural History (France), Australian Museum, Royal Ontario Museum, and Natural History Museum, London. Biogeographic patterns have been analyzed in datasets maintained by Global Biodiversity Information Facility, United Nations Environment Programme, World Wildlife Fund, International Union for Conservation of Nature, and Convention on Biological Diversity. Interactions with insects, plants, and mammals have been documented in field studies conducted by researchers affiliated with University of California, Davis, Cornell University, University of São Paulo, ETH Zurich, and Universidade de Coimbra.

Economic and Industrial Importance

The family includes species central to baking and brewing traditions tied to companies and institutions such as Anheuser-Busch InBev, Kraft Heinz, PepsiCo, Mondelez International, and Heineken. Biotechnological applications in bioethanol, recombinant protein production, and fermentation biotechnology are pursued by corporations and labs at Novozymes, DSM-Firmenich, Amyris, Ginkgo Bioworks, and DuPont. Regulatory frameworks and standards affecting use and trade have been influenced by agencies including Food and Drug Administration, European Food Safety Authority, World Health Organization, United States Department of Agriculture, and European Commission.

Genetics and Genomics

Genomic resources and sequencing projects for family members are housed in repositories like GenBank, European Nucleotide Archive, DNA Data Bank of Japan, UniProt, and Ensembl Fungi. Comparative genomic and population genetic studies have been undertaken by consortia including 1000 Genomes Project-style efforts, groups at Broad Institute, Wellcome Trust Sanger Institute, Joint Genome Institute, European Molecular Biology Laboratory, and Genome Canada. Functional genetics leveraging CRISPR and homologous recombination methodologies draw on toolkits developed at MIT, Harvard Medical School, Stanford University School of Medicine, University of California, San Francisco, and University of Oxford.

Category:Fungi families