LLMpediaThe first transparent, open encyclopedia generated by LLMs

Plasmodium vivax

Generated by GPT-5-mini
Note: This article was automatically generated by a large language model (LLM) from purely parametric knowledge (no retrieval). It may contain inaccuracies or hallucinations. This encyclopedia is part of a research project currently under review.
Article Genealogy

No expansion data.

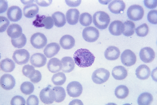
Plasmodium vivax
Plasmodium vivax
Photo Credit: Content Providers(s): CDC/ Steven Glenn, Laboratory & Consultation · Public domain · source
NamePlasmodium vivax
DomainEukaryota
PhylumApicomplexa
ClassisAconoidasida
OrdoHaemosporida
FamiliaPlasmodiidae
GenusPlasmodium
Speciesvivax

Plasmodium vivax is a protozoan parasite that causes a form of human malaria characterized by relapsing febrile illness. First described in the 19th century during colonial-era tropical medicine surveys, the parasite remains a major public health concern across parts of Asia and the Americas. Research on P. vivax has involved many institutions and investigators, shaping policy at organizations such as the World Health Organization and national ministries of health.

Taxonomy and morphology

P. vivax belongs to the phylum Apicomplexa and the order Haemosporida, with taxonomic work influenced by early parasitologists and laboratories at institutions like the Natural History Museum, the Royal Society, the Pasteur Institute, and the London School of Hygiene & Tropical Medicine. Morphologically, erythrocytic stages were detailed in classical atlases produced by authors associated with the Wellcome Trust, the Centers for Disease Control and Prevention, the Walter Reed Army Institute of Research, and university hospitals such as Johns Hopkins Hospital and the Charité. The parasite's trophozoites, schizonts, and gametocytes have been illustrated in monographs from Oxford University Press and Cambridge University Press and have been subject to electron microscopy studies at facilities such as the Max Planck Institute and the Institut Pasteur. Taxonomic debates have involved comparators like Plasmodium falciparum, Plasmodium malariae, and Plasmodium ovale discussed at symposia hosted by the Royal Society of Tropical Medicine and Hygiene and the European Centre for Disease Prevention and Control.

Life cycle

Descriptions of the P. vivax life cycle appear in textbooks used at Harvard Medical School, Stanford University School of Medicine, and the University of Oxford, and have been demonstrated experimentally in colonies maintained at the Liverpool School of Tropical Medicine and the London School of Hygiene & Tropical Medicine. The cycle alternates between vertebrate hosts studied at institutions such as the National Institutes of Health, the Pasteur Institute, and the Walter Reed Army Institute of Research, and mosquito vectors investigated by entomologists at the Smithsonian Institution, the Natural History Museum, and the London School of Hygiene. Field ecology work in regions like the Mekong Basin, the Amazon Basin, and the Horn of Africa involved collaborations among agencies including Médecins Sans Frontières, the Bill & Melinda Gates Foundation, and national programs in Brazil, India, and Indonesia. Vector competence studies have referenced Anopheles species collections curated by the British Museum and the Centers for Disease Control and Prevention.

Epidemiology and geographic distribution

Epidemiological surveillance for P. vivax has been coordinated through mechanisms run by the World Health Organization, the Pan American Health Organization, and national ministries of health in countries such as India, Pakistan, Brazil, Peru, and Indonesia. Historical distribution maps were produced in atlases by the Royal Geographical Society and updated with data from the Global Fund, the President's Malaria Initiative, and the Institute for Health Metrics and Evaluation. Outbreak investigations have been reported in journals affiliated with universities like Columbia University, the University of California, and the Federal University of Rio de Janeiro, and have involved public health responses by agencies such as the Centers for Disease Control and Prevention and national disease control programs in Sri Lanka and Afghanistan. Geographic range discussions have referenced travel medicine clinics at major ports and airports including Heathrow, JFK, and Chhatrapati Shivaji Maharaj International Airport where imported cases have been documented.

Clinical manifestations and pathogenesis

Clinical descriptions of vivax malaria were compiled by clinicians at hospitals such as Guy's Hospital, Massachusetts General Hospital, and Bellevue Hospital, and summarized in clinical guidelines from the World Health Organization and national academies of medicine. Symptoms and complications have been characterized in cohorts studied at research centers like the Mahidol Oxford Tropical Medicine Research Unit, the London School of Hygiene & Tropical Medicine, and the Wellcome Sanger Institute. Pathogenesis research involving host–parasite interactions has been conducted by laboratories at the Max Planck Institute, Harvard School of Public Health, and the Francis Crick Institute, often referencing immune studies coordinated with institutes such as Institut Pasteur and the National Institutes of Health Clinical Center. Complications reported in case series from tertiary centers such as Charité and All India Institute of Medical Sciences include severe anemia and splenic rupture, with management pathways described in clinical guidelines from the American Society of Tropical Medicine and Hygiene.

Diagnosis and laboratory identification

Diagnostic advances have been driven by collaborations among the Centers for Disease Control and Prevention, the World Health Organization, and manufacturers supplying rapid diagnostic tests used in clinics run by Médecins Sans Frontières and local ministries of health. Laboratory identification uses microscopy protocols standardized in manuals from the Royal College of Pathologists and diagnostic algorithms developed at hospitals such as St Thomas' Hospital and Massachusetts General Hospital. Molecular assays were developed in research programs at the Wellcome Sanger Institute, the Pasteur Institute, and the Broad Institute, and are implemented in reference labs including those at the European Centre for Disease Prevention and Control and the National Institute of Allergy and Infectious Diseases. Serological and PCR-based methods have been validated in multicenter studies coordinated by academic centers such as the University of Oxford and the University of California, San Francisco.

Treatment and drug resistance

Treatment regimens and resistance monitoring involve policy guidance from the World Health Organization, drug procurement by the Global Fund, and clinical trials run by institutions like the Mahidol Oxford Tropical Medicine Research Unit and the University of Oxford. Antimalarial drugs including chloroquine and primaquine have been evaluated in trials sponsored by entities such as the Wellcome Trust, the Gates Foundation, and national drug regulatory agencies including the US Food and Drug Administration and the European Medicines Agency. Resistance surveillance networks coordinated by the WorldWide Antimalarial Resistance Network and academic collaborators at the University of Barcelona and the Pasteur Institute have studied therapeutic efficacy in regions such as Southeast Asia and the Amazon. Issues of G6PD deficiency testing linked to safe primaquine use have engaged public health programs at hospitals like Addenbrooke's and community health initiatives supported by UNICEF and national ministries.

Prevention and control strategies

Prevention and control programs for vivax malaria are implemented by ministries of health in endemic countries and supported by international partners such as the World Health Organization, the Global Fund, and the President's Malaria Initiative. Vector control measures including indoor residual spraying and insecticide-treated nets have been deployed through campaigns modeled on initiatives led by community health programs in Zambia, Rwanda, and Cambodia and evaluated in trials associated with the London School of Hygiene & Tropical Medicine and the Ifakara Health Institute. Elimination efforts cite success stories documented by national programs in Sri Lanka and China and are informed by operational research from institutions such as the Bill & Melinda Gates Foundation, the Wellcome Trust, and academic centers including Harvard T.H. Chan School of Public Health and the University of Melbourne.