LLMpediaThe first transparent, open encyclopedia generated by LLMs

Pernicious anemia

Generated by GPT-5-mini
Note: This article was automatically generated by a large language model (LLM) from purely parametric knowledge (no retrieval). It may contain inaccuracies or hallucinations. This encyclopedia is part of a research project currently under review.
Article Genealogy
Parent: RBC Hop 5
Expansion Funnel Raw 44 → Dedup 0 → NER 0 → Enqueued 0
1. Extracted44
2. After dedup0 (None)
3. After NER0 ()
4. Enqueued0 ()
Pernicious anemia
Pernicious anemia
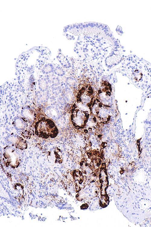
Nephron · CC BY-SA 4.0 · source
NamePernicious anemia
FieldHematology, Internal medicine
SynonymsAutoimmune atrophic gastritis with vitamin B12 deficiency
SymptomsFatigue, pallor, glossitis, paresthesia
ComplicationsNeuropathy, subacute combined degeneration, gastric carcinoma
OnsetMiddle age to elderly
CausesAutoimmune destruction of gastric parietal cells, intrinsic factor deficiency
RisksFamily history, other autoimmune disorders
DiagnosisBlood tests, Schilling test (historical), anti-intrinsic factor antibodies
TreatmentVitamin B12 replacement (parenteral or high-dose oral)
PrognosisGood with treatment; neurological sequelae may be irreversible if delayed

Pernicious anemia is a megaloblastic anemia caused by autoimmune-mediated loss of gastric intrinsic factor leading to impaired vitamin B12 (cobalamin) absorption. It presents with hematologic manifestations, neurologic deficits, and gastrointestinal features and is associated with other autoimmune disorders and increased gastric cancer risk. Management centers on lifelong cobalamin replacement and monitoring for complications.

Signs and symptoms

Patients commonly present with constitutional complaints such as Franklin D. Roosevelt-style fatigue, generalized weakness, and shortness of breath, accompanied by pallor and tachycardia. Hematologic features include macrocytic anemia with hypersegmented neutrophils, sometimes linked clinically to histories involving Royal Society-level medical descriptions or classic case reports by Thomas Addison-era physicians. Neurologic manifestations—paresthesia, gait disturbance, vibration and position sense loss—mirror findings described in literature associated with vertebral column pathology like that seen at Battle of Waterloo-era neurologic atlases. Psychiatric presentations (depression, irritability, cognitive decline) have been reported in cohorts studied alongside populations from Harvard University and Johns Hopkins Hospital clinics. Gastrointestinal signs include atrophic glossitis and achlorhydria; chronic atrophic gastritis in these patients has been investigated in studies from institutions such as Mayo Clinic and Massachusetts General Hospital.

Causes and pathophysiology

The principal cause is autoimmune destruction of gastric parietal cells and neutralization of intrinsic factor, a concept elaborated in immunology work from groups at The Rockefeller University and National Institutes of Health. Autoantibodies often target intrinsic factor or the parietal cell H+/K+ ATPase, linking pernicious anemia to autoimmune polyendocrine syndromes described in case series from Cleveland Clinic and Stanford University Medical Center. Genetic predisposition involves HLA associations identified in cohorts from University of Oxford and Karolinska Institutet; environmental modifiers were explored by investigators at World Health Organization-supported studies. Pathophysiologically, cobalamin deficiency impairs methylation pathways and myelin maintenance, a biochemical pathway mapped by researchers at Max Planck Society and Columbia University. Chronic atrophic gastritis in affected patients increases risk of gastric neoplasia—epidemiologic links have been examined in registries like those at SEER Program and national cancer institutes such as National Cancer Institute.

Diagnosis

Diagnostic evaluation begins with complete blood count and peripheral smear demonstrating macrocytosis and hypersegmented neutrophils; such hematologic criteria are standard in protocols from European Society of Hematology and American Society of Hematology. Serum cobalamin measurement, methylmalonic acid and homocysteine assays follow, with assay validation studies published by laboratories affiliated with Centers for Disease Control and Prevention and National Institutes of Health. Detection of anti-intrinsic factor and anti-parietal cell antibodies aids diagnosis; immunological assay methods are refined in laboratories at Mount Sinai Hospital and MRC Laboratory of Molecular Biology. Historically, the Schilling test was used and is documented in archives at institutions like Guy's Hospital and University College London, but it is now rarely performed. Endoscopic evaluation with gastric biopsy to document autoimmune gastritis and exclude malignancy is guided by gastroenterology guidelines from American College of Gastroenterology and studies from Karolinska University Hospital.

Treatment

Lifelong vitamin B12 replacement is the mainstay—intramuscular cyanocobalamin or hydroxocobalamin regimens are based on protocols developed at centers such as Addenbrooke's Hospital and Royal Free Hospital. High-dose oral cobalamin has been validated in randomized trials from University of Copenhagen and McMaster University as an alternative for some patients. Management also includes monitoring and treating neurologic deficits (neurology services at Mayo Clinic), screening for concomitant autoimmune diseases (endocrinology clinics at Mount Sinai and Massachusetts General Hospital), and surveillance for gastric neoplasia with endoscopy per guidance from European Society for Medical Oncology and national gastroenterology societies like British Society of Gastroenterology.

Prognosis and epidemiology

Prognosis is favorable with timely treatment—hematologic recovery is often rapid, while neurologic improvement may be incomplete if diagnosis is delayed; outcome studies originate from institutions including Johns Hopkins University and Imperial College London. Epidemiologically, pernicious anemia predominantly affects middle-aged and elderly populations with higher incidence reported in northern European cohorts and registries maintained by Scandinavian health authorities and the UK National Health Service. Prevalence estimates and demographic patterns have been analyzed in population studies by Centers for Disease Control and Prevention and academic groups at University of California, San Francisco and University of Toronto. Associations with other autoimmune conditions such as thyroiditis and type 1 diabetes have been characterized in multicenter series involving Karolinska Institutet, Royal Melbourne Hospital, and Hopkins Allergy and Clinical Immunology groups.

Category:Autoimmune diseases