LLMpediaThe first transparent, open encyclopedia generated by LLMs

Hodgkin lymphoma

Generated by GPT-5-mini
Note: This article was automatically generated by a large language model (LLM) from purely parametric knowledge (no retrieval). It may contain inaccuracies or hallucinations. This encyclopedia is part of a research project currently under review.
Article Genealogy
Parent: Jane Austen Hop 4
Expansion Funnel Raw 46 → Dedup 6 → NER 6 → Enqueued 0
1. Extracted46
2. After dedup6 (None)
3. After NER6 (None)
4. Enqueued0 (None)
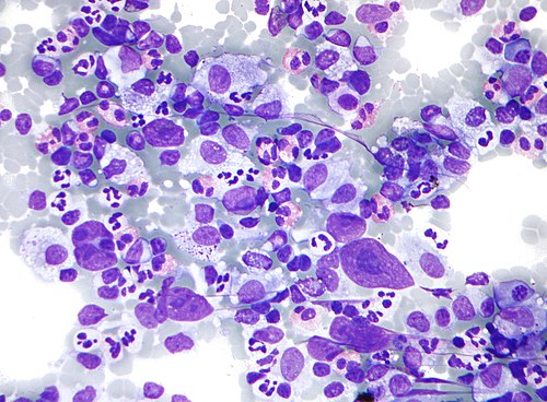
Hodgkin lymphoma
Hodgkin lymphoma
Nephron · CC BY-SA 3.0 · source
NameHodgkin lymphoma
FieldHematology, Oncology

Hodgkin lymphoma is a malignant lymphoid neoplasm characterized by the presence of Reed–Sternberg cells within an inflammatory background. First delineated in the 19th century, it is distinguished clinically and pathologically from non-Hodgkin lymphomas and has distinct treatment paradigms and long-term survivorship issues. Modern management integrates combined-modality therapy and targeted agents developed through cooperative group trials and academic research consortia.

Signs and symptoms

Patients most commonly present with painless lymphadenopathy in the cervical, supraclavicular, or mediastinal regions, often leading to evaluation by specialists at centers such as Massachusetts General Hospital or Memorial Sloan Kettering Cancer Center. Systemic "B symptoms" — unexplained fever, drenching night sweats, and unintended weight loss — are frequent and prompt staging workup with imaging at institutions like Mayo Clinic and Johns Hopkins Hospital. Pruritus, alcohol-induced pain at lymph node sites, and fatigue are notable constitutional complaints that bring individuals to clinics affiliated with Dana-Farber Cancer Institute and Seattle Cancer Care Alliance. Advanced disease may cause organ-specific signs including cough, chest pain, or superior vena cava syndrome, often managed in multidisciplinary teams at hospitals such as Cleveland Clinic and UCSF Medical Center.

Causes and pathophysiology

The etiology is multifactorial, with associations to viral infection such as Epstein–Barr virus implicated in a subset of cases identified in epidemiologic studies by groups like World Health Organization working groups. Genetic predispositions and immune dysregulation have been explored in cohorts enrolled by organizations including European Organisation for Research and Treatment of Cancer and National Cancer Institute. The pathophysiology centers on monoclonal B-cell or, less commonly, T-cell transformation leading to characteristic Reed–Sternberg and Hodgkin cells that interact with a reactive stromal microenvironment; seminal mechanistic insights were advanced by laboratories at Cold Spring Harbor Laboratory and Fred Hutchinson Cancer Research Center. Cytokine signaling pathways, including aberrant activation of NF-κB and JAK/STAT axes, were elucidated in basic research at Rockefeller University and Oxford University. Environmental and occupational exposures studied by agencies such as Centers for Disease Control and Prevention and Agency for Toxic Substances and Disease Registry have been investigated for risk modulation.

Diagnosis

Diagnosis relies on excisional lymph node biopsy with histopathology interpreted by hematopathologists trained at centers like Stanford Health Care and Beth Israel Deaconess Medical Center. Immunophenotyping using markers assessed in laboratories at Karolinska Institute and Institut Pasteur differentiates classical subtypes from nodular lymphocyte-predominant variants. Staging incorporates imaging modalities such as computed tomography and 18F-fluorodeoxyglucose positron emission tomography scans performed at radiology departments affiliated with Royal Marsden Hospital and Peter MacCallum Cancer Centre, combined with bone marrow evaluation in selected patients per protocols from cooperative groups including Children's Oncology Group and European Society for Medical Oncology. Molecular assays and circulating tumor DNA analyses are emerging tools under investigation at research hubs like Broad Institute and Sanger Institute.

Classification

Contemporary classification follows criteria promulgated by the World Health Organization and integrates histologic subtypes: nodular sclerosis, mixed cellularity, lymphocyte-rich, lymphocyte-depleted, and nodular lymphocyte-predominant disease. Pathologic definitions were refined through consensus meetings involving experts from University of Cambridge and Harvard Medical School. Staging uses the Ann Arbor system developed historically with contributions from institutions such as Memorial Sloan Kettering Cancer Center and adapted by international panels convened by International Agency for Research on Cancer.

Treatment

Frontline therapy commonly combines multi-agent chemotherapy regimens devised in trials by groups like National Comprehensive Cancer Network and German Hodgkin Study Group with involved-site radiotherapy delivered per protocols from centers such as Princess Margaret Cancer Centre. For relapsed or refractory disease, high-dose chemotherapy with autologous stem cell transplantation performed at transplant centers including Fred Hutchinson Cancer Research Center and Mayo Clinic remains standard. Targeted agents including anti-CD30 antibody–drug conjugates and immune checkpoint inhibitors were developed through collaborations between industry and academic centers such as Memorial Sloan Kettering Cancer Center and Dana-Farber Cancer Institute and are used according to approvals by regulatory bodies like Food and Drug Administration. Novel approaches including CAR T-cell therapy and bispecific antibodies are under investigation in trials run by institutions like MD Anderson Cancer Center and University College London Hospitals.

Prognosis and epidemiology

Prognosis is favorable for many patients, with long-term survival reported in series from Swedish Cancer Registry and surveillance data compiled by International Agency for Research on Cancer; outcomes vary by stage, age, and histologic subtype. Epidemiologic patterns show bimodal age distribution observed in population studies from United Kingdom and United States, with peaks in young adulthood and older age groups; incidence and mortality trends have been tracked by agencies such as Centers for Disease Control and Prevention and European Cancer Observatory. Late effects of therapy, including secondary malignancies and cardiovascular disease, are focal points in survivorship programs at St. Jude Children's Research Hospital and Princess Margaret Cancer Centre, informing follow-up guidelines developed by groups like American Society of Clinical Oncology and European Society for Medical Oncology.

Category:Lymphoid neoplasms