LLMpediaThe first transparent, open encyclopedia generated by LLMs

Hashimoto thyroiditis

Generated by GPT-5-mini
Note: This article was automatically generated by a large language model (LLM) from purely parametric knowledge (no retrieval). It may contain inaccuracies or hallucinations. This encyclopedia is part of a research project currently under review.
Article Genealogy
Parent: KPD Hop 5
Expansion Funnel Raw 63 → Dedup 0 → NER 0 → Enqueued 0
1. Extracted63
2. After dedup0 (None)
3. After NER0 ()
4. Enqueued0 ()
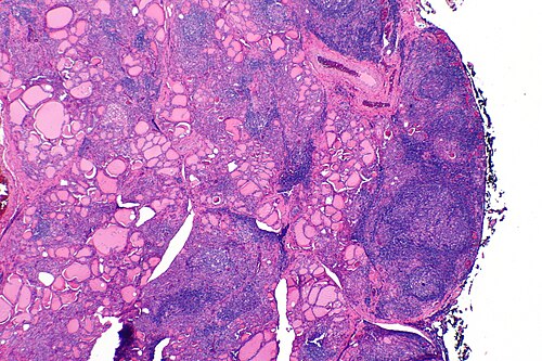
Hashimoto thyroiditis
Hashimoto thyroiditis
Librepath · CC BY-SA 3.0 · source
NameHashimoto thyroiditis

Hashimoto thyroiditis is an autoimmune thyroid disorder characterized by lymphocytic infiltration and gradual destruction of the thyroid gland, leading to hypothyroidism in many patients. First described in the early 20th century, it is associated with autoantibodies and has clinical overlaps with other autoimmune diseases and endocrine disorders. The condition is managed clinically through endocrine assessment, biochemical monitoring, and lifelong hormone replacement when indicated.

Introduction

Hashimoto thyroiditis was originally characterized in the context of early 20th-century medical research and has since been studied across institutions such as Johns Hopkins Hospital, Mayo Clinic, Massachusetts General Hospital, Harvard Medical School and Stanford University School of Medicine. Landmark work by pathologists and endocrinologists in centers like the Karolinska Institute, University of Oxford, University of Cambridge, and Imperial College London helped define its histopathology and immunology. Large cohort studies from institutions including National Institutes of Health, Centers for Disease Control and Prevention, World Health Organization, and university hospitals in Tokyo, Paris, Berlin, and Toronto clarified prevalence patterns and natural history.

Epidemiology and Risk Factors

Epidemiological data from population studies in regions such as United States, United Kingdom, Japan, Germany, France, Canada, Australia, and Sweden indicate higher prevalence in women and in middle age, with familial clustering noted in pedigrees studied at centers like Mayo Clinic and Cleveland Clinic. Risk factor investigations have involved collaborations with genetics groups at Broad Institute, Wellcome Trust Sanger Institute, and Cold Spring Harbor Laboratory exploring associations with HLA loci and non-HLA genes. Autoimmune comorbidities documented in registries at Johns Hopkins Hospital and Karolinska Institute include type 1 diabetes cohorts tracked by Joslin Diabetes Center, and associations with disorders studied at National Institutes of Health consortia. Environmental and iatrogenic influences have been examined in contexts of radiation exposure in cases related to events like Chernobyl disaster and therapeutic exposures at oncology centers such as MD Anderson Cancer Center.

Pathophysiology

Immunopathogenesis has been elucidated through work at immunology laboratories at Pasteur Institute, Max Planck Institute for Immunobiology, Scripps Research, and Howard Hughes Medical Institute investigators, highlighting autoreactive B cell and T cell responses. Antithyroid peroxidase and antithyroglobulin autoantibodies were characterized in serological studies from Yale School of Medicine and University of California, San Francisco. Molecular imaging and histology from pathology departments at Mayo Clinic and University College London demonstrate lymphoid follicle formation, germinal centers, and fibrosis akin to findings in autoimmune disorders studied at National Institute of Allergy and Infectious Diseases and Institut Pasteur. Genetic susceptibility loci mapped in genome-wide association studies by groups at Broad Institute and Wellcome Trust Sanger Institute implicate immune-regulatory genes also reported in research from Stanford University and Harvard Medical School.

Clinical Presentation

Clinical features described in textbooks from Oxford University Press and Elsevier include painless goiter, fatigue, cold intolerance, weight gain, and bradycardia, with signs correlated in case series from Mayo Clinic, Cleveland Clinic, and Johns Hopkins Hospital. Presentation may overlap with disorders managed at centers like Mount Sinai Hospital and UCSF Medical Center, and may coexist with autoimmune conditions cataloged by registries at Karolinska Institute and University of Toronto. Physical findings such as a firm, non-tender goiter have been documented in patient cohorts seen at Massachusetts General Hospital and Royal Free Hospital.

Diagnosis

Diagnostic algorithms recommended by societies including the American Thyroid Association, European Thyroid Association, Endocrine Society, and guidelines from National Institute for Health and Care Excellence rely on serum thyroid-stimulating hormone and free thyroxine assays standardized in laboratories linked to College of American Pathologists and biochemistry units at Mayo Clinic. Autoantibody testing developed in reference labs at FDA-regulated facilities and academic centers like UCSF and Johns Hopkins detects anti-thyroid peroxidase and anti-thyroglobulin. Ultrasonography performed by radiology departments at Massachusetts General Hospital and Karolinska Institute assists with structural assessment; fine-needle aspiration cytology performed using protocols from institutions such as Memorial Sloan Kettering Cancer Center may be used when nodules raise concern for coexisting pathology.

Management and Treatment

Treatment paradigms in guidelines from the American Thyroid Association, Endocrine Society, and European Thyroid Association emphasize levothyroxine replacement, a pharmacotherapy produced by manufacturers regulated by agencies like the U.S. Food and Drug Administration and distributed through health systems including Kaiser Permanente and national health services in United Kingdom and Canada. Dose titration strategies reflect trials coordinated by endocrinology groups at Mayo Clinic, Johns Hopkins, and Stanford University. Management of comorbid autoimmune disease often involves multidisciplinary teams at centers such as Cleveland Clinic and Mount Sinai Hospital, and may include immunomodulatory approaches explored in clinical trials run by National Institutes of Health networks and academic consortia at Harvard Medical School and UC San Diego.

Prognosis and Complications

Long-term follow-up studies from cohorts at Mayo Clinic, Johns Hopkins Hospital, University of Oxford, and Karolinska Institute indicate that many patients progress to permanent hypothyroidism requiring lifelong levothyroxine, with risk of progression influenced by baseline antibody titers and ultrasound features. Complications including myxedema have been described in case reports from tertiary centers like Massachusetts General Hospital and Cleveland Clinic; rare malignant transformation concerns prompt surveillance consistent with recommendations from American Thyroid Association and oncology services at Memorial Sloan Kettering Cancer Center.

Research and Future Directions

Ongoing research collaborations involving the National Institutes of Health, Broad Institute, Wellcome Trust, European Research Council, and academic centers such as Stanford University, Harvard Medical School, University of Oxford, Karolinska Institute, and Imperial College London focus on immunotherapy, antigen-specific tolerance, and precision medicine. Trials conducted at institutions like Mayo Clinic and Johns Hopkins explore B cell–targeted therapies and vaccine approaches similar to those studied for other autoimmune diseases at Dana-Farber Cancer Institute and Scripps Research. Advances in genomics from groups at Broad Institute and Wellcome Trust Sanger Institute aim to refine risk prediction and preventive strategies.

Category:Autoimmune diseases