LLMpediaThe first transparent, open encyclopedia generated by LLMs

Glioblastoma

Generated by GPT-5-mini
Note: This article was automatically generated by a large language model (LLM) from purely parametric knowledge (no retrieval). It may contain inaccuracies or hallucinations. This encyclopedia is part of a research project currently under review.
Article Genealogy
Parent: Warburg effect Hop 5
Expansion Funnel Raw 59 → Dedup 0 → NER 0 → Enqueued 0
1. Extracted59
2. After dedup0 (None)
3. After NER0 ()
4. Enqueued0 ()
Glioblastoma
Glioblastoma
NameGlioblastoma
FieldNeuro-oncology
SymptomsHeadache; seizures; focal neurological deficits
ComplicationsIncreased intracranial pressure; herniation
OnsetAdults, peak incidence 45–70 years
CausesSporadic mutations; ionizing radiation exposure
RisksPrior radiotherapy; neurofibromatosis; Li-Fraumeni syndrome
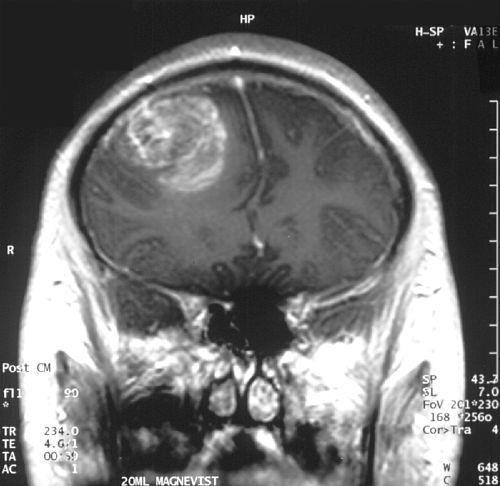
DiagnosisMagnetic resonance imaging; histopathology
TreatmentMaximal safe resection; radiotherapy; temozolomide
PrognosisMedian survival 12–18 months

Glioblastoma Glioblastoma is an aggressive primary brain neoplasm of astrocytic lineage that produces rapid neurological decline. It is characterized by infiltrative growth, necrosis, and microvascular proliferation, often presenting with focal deficits, seizures, and increased intracranial pressure. Management typically involves multidisciplinary teams including neurosurgery, radiation oncology, and medical oncology, with ongoing research in molecular targeted therapy and immunotherapy.

Introduction

Glioblastoma was historically classified within the World Health Organization brain tumor grading system and discussed in the context of neuropathology, oncology, and neuroimaging. Major centers such as Mayo Clinic, Johns Hopkins Hospital, Massachusetts General Hospital, MD Anderson Cancer Center, and Memorial Sloan Kettering Cancer Center contribute to clinical guidelines and trials. Important historical figures and institutions in tumor classification include Harvey Cushing, Percival Bailey, World Health Organization, and academic programs at Harvard Medical School and University of Cambridge.

Signs and symptoms

Patients often present with progressive headache, new-onset seizures, cognitive decline, and focal neurological deficits such as hemiparesis or aphasia, prompting evaluation at facilities like Cleveland Clinic, UCLA Medical Center, and Stanford Health Care. Symptoms may mimic stroke or infection, leading to consultations among specialists from American Academy of Neurology, Society for Neuro-Oncology, and emergency departments at hospitals including Bellevue Hospital and Mount Sinai Hospital. Neuropsychological decline may involve memory loss and personality change, raising referrals to centers such as Mayo Clinic neuropsychology services and research groups at National Institutes of Health.

Pathophysiology and genetics

Glioblastoma demonstrates hallmark histopathology including pseudopalisading necrosis and microvascular proliferation, described in classic neuropathology texts from Guy’s Hospital and investigators at University College London. Molecular alterations frequently involve amplification of the EGFR locus, mutation or loss of TP53, deletion of CDKN2A, and alterations in the PTEN–PI3K pathway; these discoveries arose from genomic projects at The Cancer Genome Atlas and labs at Broad Institute and Wellcome Trust Sanger Institute. Subtypes identified by transcriptomic and methylation profiling were reported by consortia including TCGA Research Network and research groups at University of California, San Francisco and Karolinska Institutet. Hereditary cancer syndromes such as Li-Fraumeni syndrome and Neurofibromatosis type 1 increase risk, while ionizing radiation exposure from radiotherapy or incidents tracked by organizations like the International Atomic Energy Agency is a recognized etiologic factor.

Diagnosis

Diagnostic workup centers on neuroimaging with contrast-enhanced magnetic resonance imaging performed at centers like Mount Sinai Hospital and King’s College Hospital, often supplemented by computed tomography in emergency settings at Royal London Hospital. Definitive diagnosis requires surgical biopsy or resection with neuropathological examination referencing criteria from the World Health Organization classification and laboratories at institutions such as Mayo Clinic and Johns Hopkins Hospital. Molecular testing for biomarkers including MGMT promoter methylation, IDH1 and IDH2 mutations, and 1p/19q codeletion is routinely performed in reference laboratories at University of Pennsylvania and Memorial Sloan Kettering Cancer Center to guide prognosis and therapy.

Treatment

Standard initial treatment is maximal safe resection by neurosurgical teams at tertiary centers like Cleveland Clinic and UCLA Medical Center, followed by focal radiotherapy and concurrent temozolomide chemotherapy as established in trials led by groups such as European Organisation for Research and Treatment of Cancer and National Cancer Institute. Other modalities include tumor-treating fields developed by companies and evaluated in trials at institutions like M.D. Anderson Cancer Center and University of Toronto, stereotactic radiosurgery practiced at Gamma Knife centers, and palliative care services coordinated with hospitals such as Hospice Foundation of America. Recurrent disease management may involve re-resection, bevacizumab use studied by groups at Genentech and academic centers, and enrollment in clinical trials at university hospitals including Massachusetts General Hospital.

Prognosis and epidemiology

Prognosis is generally poor with median survival around 12–18 months despite treatment, as reported in population studies by agencies like Centers for Disease Control and Prevention and registries such as the Surveillance, Epidemiology, and End Results Program. Incidence peaks in middle-aged and older adults with variation reported across regions including data from European Cancer Observatory and national registries in Japan and Australia. Prognostic factors include age, performance status assessed by scales used at Memorial Sloan Kettering Cancer Center, extent of resection achieved at neurosurgical centers, and molecular markers such as IDH1 mutation status and MGMT promoter methylation.

Research and experimental therapies

Active research includes targeted inhibitors against EGFR variants, PI3K/AKT/mTOR pathway agents developed at pharmaceutical companies and trialed at centers like University of California, San Francisco and Stanford University, immune checkpoint blockade explored in trials at Dana-Farber Cancer Institute and MD Anderson Cancer Center, CAR T-cell approaches investigated by teams at National Institutes of Health and Memorial Sloan Kettering Cancer Center, and vaccine platforms trialed at Duke University and University of Pennsylvania. Translational work leveraging genomic resources from The Cancer Genome Atlas and preclinical models at institutes such as Salk Institute and Cold Spring Harbor Laboratory continues to inform combinatorial strategies and precision medicine initiatives supported by funding bodies like the National Cancer Institute and European Research Council.

Category:Brain tumors