LLMpediaThe first transparent, open encyclopedia generated by LLMs

Ganglia

Generated by GPT-5-mini
Note: This article was automatically generated by a large language model (LLM) from purely parametric knowledge (no retrieval). It may contain inaccuracies or hallucinations. This encyclopedia is part of a research project currently under review.
Article Genealogy
Parent: GridPP Hop 4
Expansion Funnel Raw 52 → Dedup 5 → NER 4 → Enqueued 0
1. Extracted52
2. After dedup5 (None)
3. After NER4 (None)
Rejected: 1 (not NE: 1)
4. Enqueued0 (None)
Similarity rejected: 4
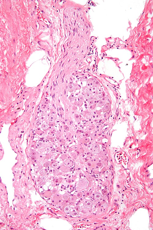
Ganglia
Ganglia
Nephron · CC BY-SA 3.0 · source
NameGanglia
Latinganglion (plural: ganglia)
SystemNervous system
Component ofPeripheral nervous system
LocationPeripheral nerves, spinal cord, brainstem

Ganglia Ganglia are clusters of neuronal cell bodies located in the peripheral nervous system and adjacent to central structures; they participate in sensory transmission, autonomic regulation, and reflex integration. Important historical descriptions emerged alongside work by Santiago Ramón y Cajal, Camillo Golgi, Charles Sherrington, Ivan Pavlov, and investigations at institutions such as the Johns Hopkins Hospital, Karolinska Institute, Institut Pasteur, University of Oxford, and Harvard Medical School. Their study intersects discoveries from the Nobel Prize in Physiology or Medicine laureates and research in disorders treated at centers like Mayo Clinic and Massachusetts General Hospital.

Introduction

Ganglia are anatomically discrete neuronal aggregates first characterized during the 19th century by researchers including Santiago Ramón y Cajal and Camillo Golgi with techniques later refined in laboratories at University College London and the Max Planck Society. Peripheral ganglia contrast with central nuclei described in texts from Charité – Universitätsmedizin Berlin and clinical atlases used at Columbia University Irving Medical Center and UCL Institute of Neurology. Studies of ganglionic development reference work in developmental biology from Walter Gehring and patterning research at the European Molecular Biology Laboratory.

Anatomy and Types

Ganglia vary by location and function: major classes include sensory dorsal root ganglia adjacent to vertebrae studied in cohorts at Mayo Clinic, cranial nerve ganglia such as the trigeminal ganglion examined by teams at Johns Hopkins University School of Medicine, and autonomic ganglia subdivided into sympathetic chain ganglia near the vertebral column and parasympathetic ganglia such as the ciliary and otic ganglia documented in surgical texts from Cleveland Clinic and Mount Sinai Health System. Enteric ganglia within the gastrointestinal tract were characterized in landmark studies from University of California, San Diego and Cornell University. Comparative anatomy across species features work from the Smithsonian Institution, Natural History Museum, London, and researchers at the Salk Institute.

Function and Physiology

Ganglia perform signal transduction, synaptic integration, and local reflex processing. Dorsal root ganglia relay somatosensory signals from peripheral receptors to spinal circuits investigated in experiments at Cold Spring Harbor Laboratory and Scripps Research, while autonomic ganglia mediate preganglionic to postganglionic transmission relevant to projects at National Institutes of Health and Karolinska Institute. Neurotransmission involves classical transmitters characterized in laboratories such as The Rockefeller University and ionic mechanisms elucidated in electrophysiology studies at Imperial College London and Massachusetts Institute of Technology. Plasticity and neuropathic alterations are topics in research programs at Stanford University Medical Center and the University of Pennsylvania Perelman School of Medicine.

Clinical Significance

Pathology of ganglia underlies conditions treated at tertiary centers like Johns Hopkins Hospital and Mayo Clinic, including sensory neuropathies, ganglionitis, and autonomic dysfunction studied in cohorts at Cleveland Clinic and Brigham and Women's Hospital. Hereditary and acquired disorders implicate genes investigated at institutions such as Broad Institute and Wellcome Sanger Institute, with syndromes described in case series from Children's Hospital of Philadelphia and Great Ormond Street Hospital. Infectious etiologies including herpesvirus reactivation involving cranial ganglia have been the focus of virology groups at Pasteur Institute and Centers for Disease Control and Prevention. Pain syndromes linked to dorsal root ganglia are managed in pain centers at Mayo Clinic and University of California, San Francisco.

Diagnostic Methods

Evaluation of ganglionic disease uses imaging modalities available at Massachusetts General Hospital and Mount Sinai Health System such as magnetic resonance imaging protocols developed at NIH Clinical Center and high-resolution ultrasound techniques refined at Mayo Clinic. Electrophysiological testing including nerve conduction studies and electromyography is standardized by guidelines from organizations like the American Academy of Neurology and performed in neurophysiology labs at University of Michigan and Duke University Medical Center. Molecular diagnostics, genetic testing, and biopsy interpretation are conducted by reference centers such as the Molecular Diagnostics Laboratory at Johns Hopkins and the Wellcome Sanger Institute.

Treatment and Management

Management strategies span pharmacologic, interventional, and surgical approaches practiced at specialized centers including Cleveland Clinic and Stanford Health Care. Neuropathic pain with ganglionic involvement is treated using regimens informed by trials at NIH Clinical Center and pharmaceutical research from companies collaborating with FDA oversight; options include anticonvulsants, antidepressants, and local anesthetic interventions performed in pain clinics at Brigham and Women's Hospital. Autonomic disorders receive multidisciplinary care in programs at Mayo Clinic and rehabilitation at Spaulding Rehabilitation Network. Emerging therapies and neuromodulation techniques such as dorsal root ganglion stimulation have been trialed at Johns Hopkins Hospital and University of California, San Francisco with ongoing research supported by grants from agencies including National Institutes of Health.

Category:Anatomy