LLMpediaThe first transparent, open encyclopedia generated by LLMs

Cancer Cell

Generated by GPT-5-mini
Note: This article was automatically generated by a large language model (LLM) from purely parametric knowledge (no retrieval). It may contain inaccuracies or hallucinations. This encyclopedia is part of a research project currently under review.
Article Genealogy
Expansion Funnel Raw 89 → Dedup 0 → NER 0 → Enqueued 0
1. Extracted89
2. After dedup0 (None)
3. After NER0 ()
4. Enqueued0 ()
Cancer Cell
Cancer Cell
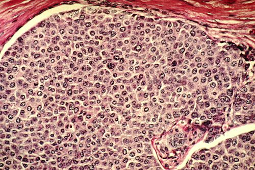
Dr. Cecil Fox (Photographer) · Public domain · source
NameCancer Cell
DomainEukaryota
KingdomAnimalia
PhylumChordata
CladeVertebrata
Cell typeSomatic cell (transformed)
Notable featuresUncontrolled proliferation, genomic instability, altered metabolism, invasive behavior

Cancer Cell A cancer cell is a somatic cell that has undergone irreversible changes enabling sustained proliferation, evasion of apoptosis, and capacity for invasion. These transformed cells arise within multicellular organisms and are central to the pathogenesis of cancer. Cancer cells exhibit hallmark alterations in signaling pathways, genome integrity, and interactions with stromal elements.

Definition and Characteristics

Cancer cells are defined by capabilities such as self-sufficiency in growth signals, insensitivity to antigrowth signals, evasion of programmed cell death, limitless replicative potential, sustained angiogenesis, and tissue invasion leading to metastasis. Notable historical frameworks describing these features include the conceptual work from Hanahan and Weinberg and subsequent extensions by researchers at institutions like National Cancer Institute and American Association for Cancer Research. Morphologically, cancer cells may display pleomorphism, hyperchromatic nuclei, and mitotic atypia recognized in diagnostic practice at centers such as Mayo Clinic and Johns Hopkins Hospital. Cellular hallmarks are studied in laboratories affiliated with Massachusetts Institute of Technology, University of Cambridge, and University of Oxford. Clinically relevant traits have been characterized in cohorts from Memorial Sloan Kettering Cancer Center and Dana-Farber Cancer Institute.

Origins and Transformation

Transformation of a normal cell into a cancer cell typically involves accumulation of genetic and epigenetic alterations over time within tissues such as the lung, colon, breast, prostate, skin, and pancreas. Environmental and inherited factors implicated include exposures documented by research at World Health Organization, International Agency for Research on Cancer, and epidemiological studies from Harvard School of Public Health and Stanford University School of Medicine. Classical models of multistep carcinogenesis derive from work on retinoblastoma and studies by investigators at Cold Spring Harbor Laboratory and Salk Institute. Oncogenesis often follows disruption of pathways controlled by proteins like p53, RB, EGFR, KRAS, and MYC, with early descriptions in influential papers from Nature (journal), Science (journal), and Cell (journal).

Molecular and Genetic Alterations

Cancer cells harbor mutations, copy-number variations, chromosomal translocations, and epigenetic modifications affecting oncogenes and tumor suppressors. Landmark discoveries involve genes and loci such as BRCA1, BRCA2, TP53, PTEN, APC, BRAF, and ALK. Mechanistic insights have been advanced by laboratories at Broad Institute, Wellcome Trust Sanger Institute, and German Cancer Research Center (DKFZ). Telomere maintenance through activation of telomerase or alternative lengthening mechanisms supports replicative immortality, with telomere biology explored in groups at University of California, San Francisco and University of Arizona. DNA repair deficiencies characterized in conditions like Lynch syndrome and studies by National Human Genome Research Institute inform genomic instability paradigms. Epigenetic regulators including DNMT1, EZH2, and histone modifiers are subjects of investigation in consortia such as The Cancer Genome Atlas and International Cancer Genome Consortium.

Tumor Microenvironment and Metastasis

Cancer cells interact with a complex tumor microenvironment composed of fibroblasts, immune cells, endothelial cells, and extracellular matrix components; seminal descriptions of these interactions appear in publications from Karolinska Institutet, Institut Curie, and Fred Hutchinson Cancer Center. Stromal influences include cancer-associated fibroblasts, tumor-associated macrophages, and regulatory T cells, with signaling axes involving VEGF, TGF-β, and chemokines studied at Johns Hopkins University and University of California, Los Angeles. Metastatic dissemination follows organotropism principles elucidated by researchers at Memorial Sloan Kettering Cancer Center and University College London, with clinical patterns observed in metastases to liver, lung, brain, and bone. Processes such as epithelial–mesenchymal transition have been characterized by teams at Yale University and Cold Spring Harbor Laboratory.

Clinical Presentation and Diagnosis

Clinical detection of diseases driven by cancer cells relies on imaging, histopathology, and molecular diagnostics performed at centers including Mayo Clinic, Cleveland Clinic, and Massachusetts General Hospital. Presentations vary by tissue site: for example, pulmonary tumors produce symptoms cataloged by American Thoracic Society studies, while colorectal malignancies were profiled in screening programs by US Preventive Services Task Force and European Society for Medical Oncology. Diagnostic technologies encompass immunohistochemistry, in situ hybridization, next-generation sequencing platforms from companies like Illumina and Thermo Fisher Scientific, and liquid biopsy approaches developed at Guardant Health and academic partners. Staging systems from American Joint Committee on Cancer and treatment guidelines from National Comprehensive Cancer Network guide clinical decision-making.

Treatment and Therapeutic Resistance

Therapeutic approaches targeting cancer cells include surgery, radiation therapy, cytotoxic chemotherapy, targeted agents against kinases and growth factor receptors, immunotherapies such as immune checkpoint inhibitors, and cell-based therapies like CAR T cells. Pioneering clinical and translational work has been conducted at MD Anderson Cancer Center, Memorial Sloan Kettering Cancer Center, and Fred Hutchinson Cancer Center. Resistance mechanisms—secondary mutations, phenotypic plasticity, efflux transporters, and microenvironment-mediated protection—have been described in trials coordinated by European Organisation for Research and Treatment of Cancer and National Cancer Institute. Drug development pipelines at pharmaceutical firms including Roche, Pfizer, Novartis, and AstraZeneca translate molecular insights into novel therapeutics such as inhibitors targeting BRAF, ALK, or PARP.

Research Methods and Model Systems

Studies of cancer cells employ in vitro cell lines, patient-derived xenografts, genetically engineered mouse models, organoids, and computational models. Foundational cell lines and repositories are maintained by American Type Culture Collection and research programs at National Cancer Institute. Organoid and 3D culture methods have been refined at Hubrecht Institute and Hubrecht Institute collaborators, while CRISPR-based functional genomics originated in labs at Broad Institute and University of California, Berkeley. Large-scale datasets from The Cancer Genome Atlas, Cancer Cell Line Encyclopedia, and consortia such as International Cancer Genome Consortium provide resources for translational research. Clinical-translational integration is facilitated through academic networks including Clinical Trials Cooperative Groups and translational units at NIH Clinical Center.

Category:Cell biology