LLMpediaThe first transparent, open encyclopedia generated by LLMs

Bone marrow

Generated by GPT-5-mini
Note: This article was automatically generated by a large language model (LLM) from purely parametric knowledge (no retrieval). It may contain inaccuracies or hallucinations. This encyclopedia is part of a research project currently under review.
Article Genealogy
Parent: RBC Hop 5
Expansion Funnel Raw 60 → Dedup 0 → NER 0 → Enqueued 0
1. Extracted60
2. After dedup0 (None)
3. After NER0 ()
4. Enqueued0 ()
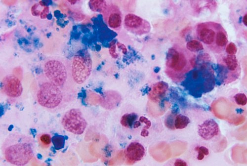
Bone marrow
Bone marrow
Dr. Gordon D. McLaren · Public domain · source
NameBone marrow
Latinmedulla ossium
SystemHuman body
LocationSkeletal system
PartofBones
FunctionHematopoiesis, immune cell production, fat storage

Bone marrow is the soft, highly vascularized tissue occupying the cavities of many Bones in the Human body and vertebrates. It serves as the primary site of hematopoiesis in postnatal life and contributes to immune cell maturation, metabolic regulation, and response to systemic stressors such as infection and hemorrhage. Research on marrow intersects with studies conducted at institutions like National Institutes of Health, clinical programs at centers such as Mayo Clinic, and foundational experiments by investigators associated with Johns Hopkins Hospital and Dana–Farber Cancer Institute.

Anatomy and distribution

Bone marrow occurs in two major macroscopic types: red marrow and yellow marrow. Red marrow predominates in the axial skeleton—skull, vertebral column, pelvis, ribs, and proximal epiphyses of long bones such as the femur and humerus—while yellow marrow, rich in adipocytes, fills diaphyses. Distribution shifts with age: neonates have marrow in nearly all skeletal sites, children retain extensive red marrow in the long bones, and adults concentrate red marrow in axial locations, a pattern relevant to imaging at centers like Mayo Clinic and Cleveland Clinic and to surgical procedures performed at hospitals including Massachusetts General Hospital. The marrow resides within the medullary cavity, bounded by trabecular and cortical bone formed by osteoblasts and osteoclasts influenced by signaling pathways studied at laboratories such as Broad Institute and Cold Spring Harbor Laboratory.

Cellular composition and function

Marrow is a heterogeneous tissue comprising hematopoietic cells, stromal cells, adipocytes, endothelial cells, and extracellular matrix. Key cellular players include hematopoietic stem cells studied in models from laboratories at Stanford University and Harvard Medical School, multipotent progenitors, committed precursors (erythroid, myeloid, megakaryocytic, and lymphoid lineages), mesenchymal stromal cells characterized in research at Karolinska Institute, and sinusoidal endothelial cells. Functions encompass production of erythrocytes implicated in oxygen transport controversies addressed by researchers at University of Oxford, granulocytes central to innate immunity examined by teams at Imperial College London, platelets critical to hemostasis investigated at Johns Hopkins University School of Medicine, and lymphocytes integral to adaptive responses characterized by work at Scripps Research. The marrow microenvironment or niche is regulated by cytokines and growth factors (e.g., erythropoietin from Bayer-sponsored trials), chemokines, and neural inputs linked to studies at Columbia University.

Hematopoiesis and development

Hematopoiesis in marrow follows hierarchies first elucidated in experiments associated with Rockefeller University and expanded by investigators at Fred Hutchinson Cancer Center. During embryogenesis, hematopoietic activity transitions from the yolk sac to the fetal liver and ultimately to marrow within developing bones such as the ilium and sternum. Postnatally, self-renewing hematopoietic stem cells residing in niches described in reviews from Cambridge University Press give rise to multipotent progenitors that differentiate under transcriptional control by factors identified in studies at University of California, San Francisco and Massachusetts Institute of Technology. Lineage commitment produces erythropoiesis, myelopoiesis, megakaryopoiesis, and lymphopoiesis, processes dissected through assays and clinical trials conducted at National Cancer Institute and experimental platforms at European Molecular Biology Laboratory.

Clinical significance and diseases

Marrow pathology underlies an array of disorders. Aplastic anemia linked to exposures studied at Centers for Disease Control and Prevention leads to pancytopenia; hematologic malignancies such as acute myeloid leukemia, chronic lymphocytic leukemia, multiple myeloma, and myelodysplastic syndromes are focal points of clinical trials at institutions like MD Anderson Cancer Center and Memorial Sloan Kettering Cancer Center. Marrow infiltration occurs in metastatic solid tumors (e.g., breast cancer, prostate cancer) and infectious processes including tuberculosis and HIV-associated marrow dysfunction researched by teams at World Health Organization collaborative centers. Age-related marrow adiposity affects systemic metabolism, a topic pursued by investigators at Karolinska Institute and Yale University. Genetic marrow disorders such as Fanconi anemia and Diamond–Blackfan anemia are managed in specialist centers including Great Ormond Street Hospital.

Diagnostic procedures and transplantation

Diagnostic assessment employs peripheral blood counts, bone marrow aspiration and trephine biopsy performed under guidance protocols developed at Royal College of Physicians and imaging modalities such as magnetic resonance techniques refined at Siemens and GE Healthcare. Cytogenetics, flow cytometry, next-generation sequencing panels used at laboratories like Illumina and Foundation Medicine provide clonality and mutation data essential for prognosis. Therapeutically, hematopoietic stem cell transplantation—autologous or allogeneic—originated from pioneering work at Fred Hutchinson Cancer Center and is delivered at transplant centers including City of Hope and St. Jude Children's Research Hospital; graft-versus-host disease, conditioning regimens, donor selection, and mobilization strategies are subjects of ongoing trials funded by entities such as National Institutes of Health. Emerging approaches include gene therapy trials for inherited marrow disorders conducted at Great Ormond Street Hospital and cellular therapies developed in cooperation with industry partners like Novartis and Gilead Sciences.

Category:Anatomy