LLMpediaThe first transparent, open encyclopedia generated by LLMs

Anemia

Generated by GPT-5-mini
Note: This article was automatically generated by a large language model (LLM) from purely parametric knowledge (no retrieval). It may contain inaccuracies or hallucinations. This encyclopedia is part of a research project currently under review.
Article Genealogy
Parent: RBC Hop 5
Expansion Funnel Raw 77 → Dedup 0 → NER 0 → Enqueued 0
1. Extracted77
2. After dedup0 (None)
3. After NER0 ()
4. Enqueued0 ()
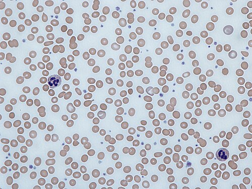
Anemia
Anemia
Dr Graham Beards · CC BY-SA 3.0 · source
NameAnemia
FieldHematology Internal medicine Primary care
SymptomsFatigue, pallor, dyspnea, tachycardia
ComplicationsHeart failure, reduced cognitive performance, adverse pregnancy outcomes
TypesIron deficiency, hemolytic, aplastic, megaloblastic
CausesNutritional deficiency, blood loss, chronic disease, genetic disorders
DiagnosisComplete blood count, peripheral smear, iron studies
TreatmentIron supplementation, transfusion, erythropoiesis-stimulating agents

Anemia is a medical condition characterized by a decreased concentration of hemoglobin or red blood cell mass, resulting in reduced oxygen-carrying capacity of the blood. It is encountered across World Health Organization assessments, influences outcomes in World Bank health metrics, and intersects with care delivered by institutions such as Mayo Clinic, Johns Hopkins Hospital, and National Institutes of Health. Management involves coordination among specialists from American Society of Hematology guidelines, public health programs from United Nations Children's Fund and Centers for Disease Control and Prevention, and community providers.

Overview

Anemia encompasses diverse disorders recognized by pioneers like William Osler and studied in contexts including the Industrial Revolution occupational health records, the Spanish flu era complications, and modern clinical trials from Cochrane Collaboration. Clinical frameworks used by European Society of Hematology and American College of Physicians rely on laboratory tests standardized by bodies such as Clinical and Laboratory Standards Institute and regulatory oversight from Food and Drug Administration.

Classification and causes

Classification systems reference historical work by Richard Bright and modern taxonomies from World Health Organization. Major categories include blood loss associated with episodes like Battle of Gettysburg-era trauma, nutritional deficiencies exemplified in populations studied by Fridtjof Nansen, hemolytic processes described in case series by Paul Ehrlich, bone marrow failure syndromes chronicled in reports from Dana-Farber Cancer Institute, and genetic hemoglobinopathies such as sickle cell disease and thalassemia variants first characterized in cohorts studied by Howard Fox. Causes span dietary iron insufficiency documented in surveys by Food and Agriculture Organization, chronic inflammation connected to conditions like Rheumatoid arthritis and Inflammatory bowel disease treated at centers like Cleveland Clinic, parasitic blood loss from Plasmodium falciparum malaria and Schistosoma mansoni endemic regions handled by Doctors Without Borders, and iatrogenic causes including chemotherapy regimens from institutions such as Memorial Sloan Kettering Cancer Center.

Pathophysiology

Pathophysiologic mechanisms were elucidated through experiments at labs like Rutherford Laboratory and insights from researchers including Linus Pauling and Max Perutz. Key processes include impaired erythropoiesis due to deficient substrates (iron, vitamin B12, folate) studied in nutritional research by Ancel Keys and Vladimir Petrovich, hemolysis mediated by autoantibodies described by investigators at Mayo Clinic transfusion services, structural hemoglobin defects investigated by teams at University of Oxford and Harvard University, and marrow aplasia analyzed in cohorts from Karolinska Institutet. Erythropoietin signaling disruptions were characterized in work associated with University of Utah researchers and influenced therapeutics developed by pharmaceutical firms such as Amgen.

Clinical presentation and diagnosis

Historic clinical descriptions trace to physicians like Hippocrates and clinical staging evolved in textbooks by Harrison's Principles of Internal Medicine editors. Common presentations—fatigue, pallor, exertional dyspnea—are evaluated with tests performed in laboratories accredited by College of American Pathologists and interpreted using reference ranges from National Health Service (UK). Diagnostic modalities include complete blood count analyzers made by companies like Siemens and Abbott Laboratories, peripheral smear review taught in courses at Johns Hopkins School of Medicine, iron studies evaluated in guidelines from British Society for Haematology, hemolysis labs influenced by protocols from American Association of Blood Banks, and bone marrow examination techniques refined at M.D. Anderson Cancer Center. Differential diagnosis often involves collaboration with specialists at institutions such as Stanford Health Care.

Management and treatment

Therapeutic approaches reflect randomized trials cataloged by Cochrane Library and guideline endorsements from World Health Organization and American Society of Hematology. Treatments include oral iron regimens used in community programs by Save the Children, intravenous iron formulations produced by companies like Pharmacosmos, red blood cell transfusion protocols standardized by American Red Cross, erythropoiesis-stimulating agents developed by Johnson & Johnson partners and monitored per European Medicines Agency guidance, vitamin B12 replacement informed by studies from Karolinska Institutet, and definitive cures such as hematopoietic stem cell transplantation pioneered at Fred Hutchinson Cancer Center and Fred Hutch. Management also integrates surgical interventions approximated in historical series from Cleveland Clinic and targeted therapies for hemoglobinopathies emerging from research at University College London.

Epidemiology and public health

Global burden estimates are produced by World Health Organization and Global Burden of Disease Study led by teams at Institute for Health Metrics and Evaluation. Prevalence patterns reflect socioeconomic gradients noted in reports by World Bank and demographic analyses by United Nations. Vulnerable groups include children in programs coordinated by UNICEF, pregnant people monitored in initiatives by United Nations Population Fund, and populations in malaria-endemic zones addressed by Roll Back Malaria Partnership. Surveillance systems use data platforms from Centers for Disease Control and Prevention and policy responses involve agencies such as Ministry of Health (Brazil) and National Health Service (UK).

Prevention and prognosis

Prevention strategies are informed by nutrition policies from Food and Agriculture Organization, fortification efforts championed by Global Alliance for Improved Nutrition, and antenatal care models promoted by World Health Organization. Prognosis depends on cause, as documented in cohort studies from Johns Hopkins Bloomberg School of Public Health and long-term outcome registries maintained by European Hematology Association. Interventions by nongovernmental groups like Bill & Melinda Gates Foundation have influenced reductions in prevalence through programs combining supplementation, infection control, and health system strengthening.

Category:Blood disorders